2. Maxillary Sinus Reconstruction & Occlusal Rehabilitation

Case Summary

Female · 70s

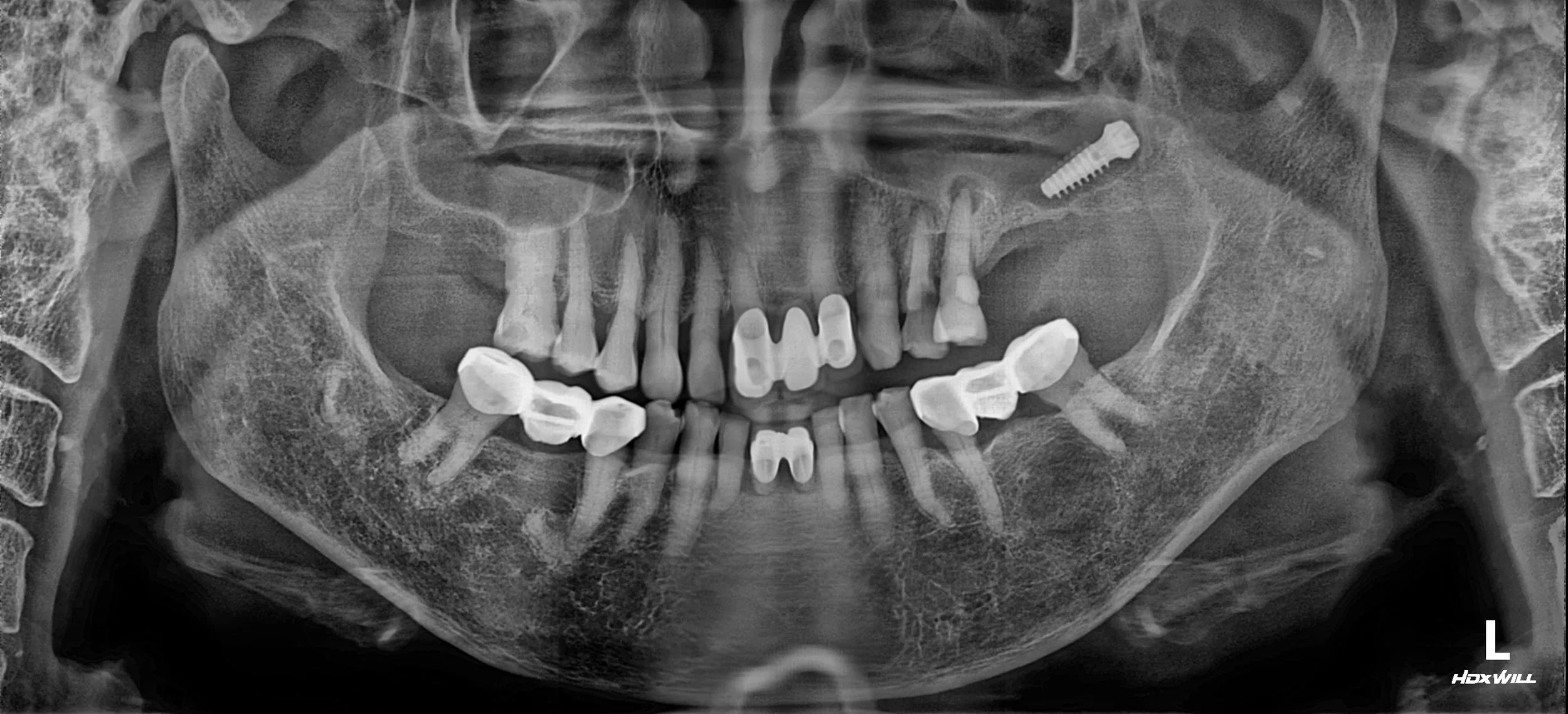
The patient presented with long-standing occlusal instability following a failed implant treatment several years prior.

A displaced implant fixture was identified within the maxillary sinus, accompanied by chronic maxillary sinusitis originating from residual teeth with advanced apical pathology.

Prolonged unilateral mastication had resulted in progressive occlusal imbalance, multiple tooth fractures, and symptoms suggestive of temporomandibular joint dysfunction.

OPG - BEFORE

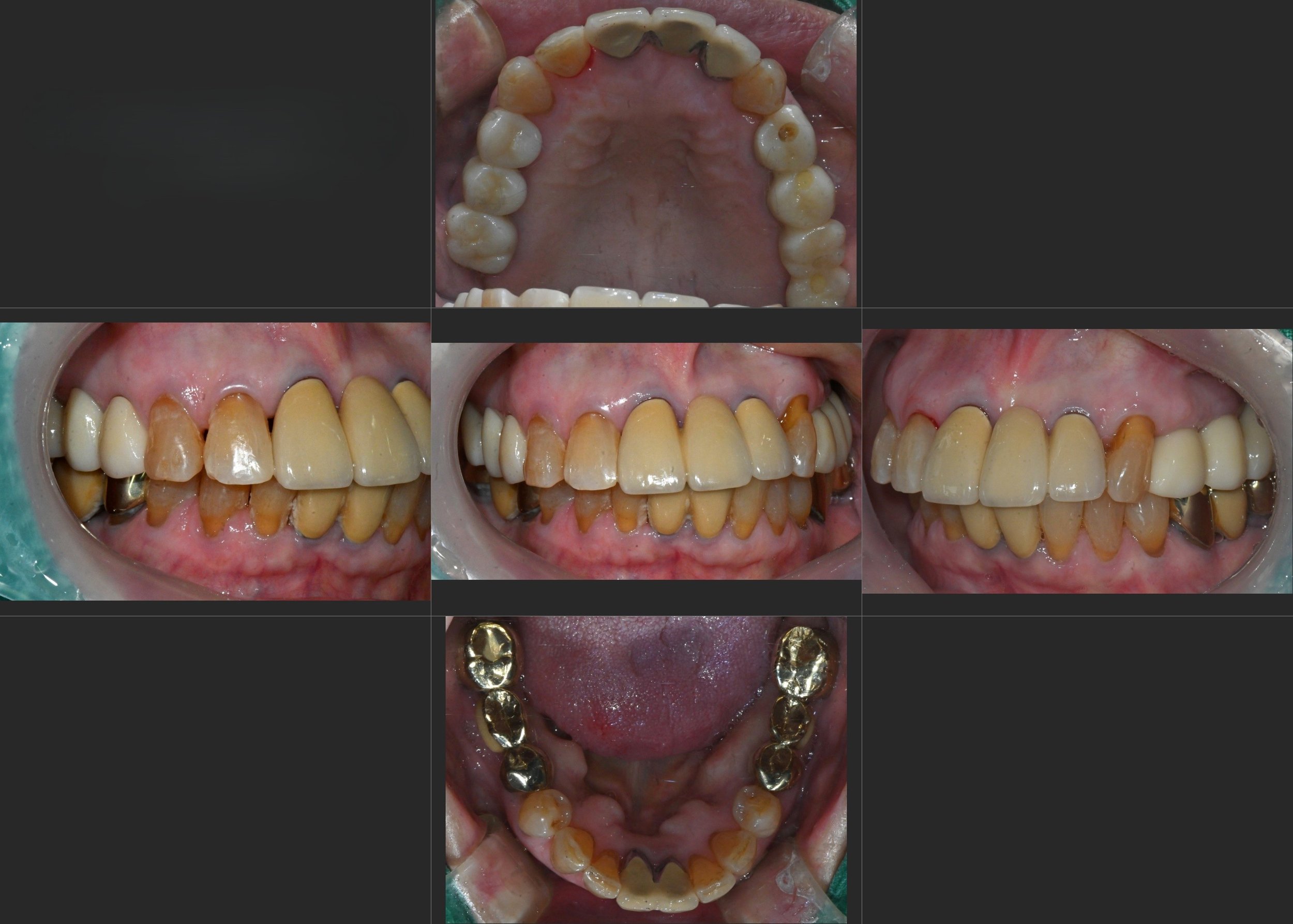
INTRA ORAL - BEFORE

Treatment Objectives

• Resolution of maxillary sinus pathology

• Elimination of unilateral mastication pattern

• Restoration of fractured teeth and compromised dentition

• Recovery of occlusal vertical dimension to prolong anterior tooth longevity

OPG - AFTER

INTRA ORAL - AFTER

Treatment Approach

A staged treatment approach was undertaken, beginning with the removal of the displaced implant fixture from the maxillary sinus and management of sinus pathology through guided bone regeneration (GBR).

Subsequently, implant placement and prosthetic rehabilitation were performed to re-establish both vertical and horizontal occlusal relationships, aiming for functional stability and long-term maintainability.

Digital diagnostic and planning tools were utilised to support precise execution and predictable prosthetic outcomes.

Previous
Previous

3. Occlusal Rehabilitation of a Pseudo Class III Malocclusion

Next
Next

1. Occlusal Rehabilitation with Implants