0
Skip to Content
Dr Jeonghwan Song | Dentist
인사말
소개 및 약력
진료과목들
예약 문의
About Bridge
Meet Dr JH Song
About Dr JH Song
Clinical Services
Case Notes
Contact
Dr Jeonghwan Song | Dentist
인사말
소개 및 약력
진료과목들
예약 문의
About Bridge
Meet Dr JH Song
About Dr JH Song
Clinical Services
Case Notes
Contact
Folder: 한국어
Back
인사말
소개 및 약력
진료과목들
예약 문의
About Bridge
Meet Dr JH Song
About Dr JH Song
Clinical Services
Case Notes
Contact
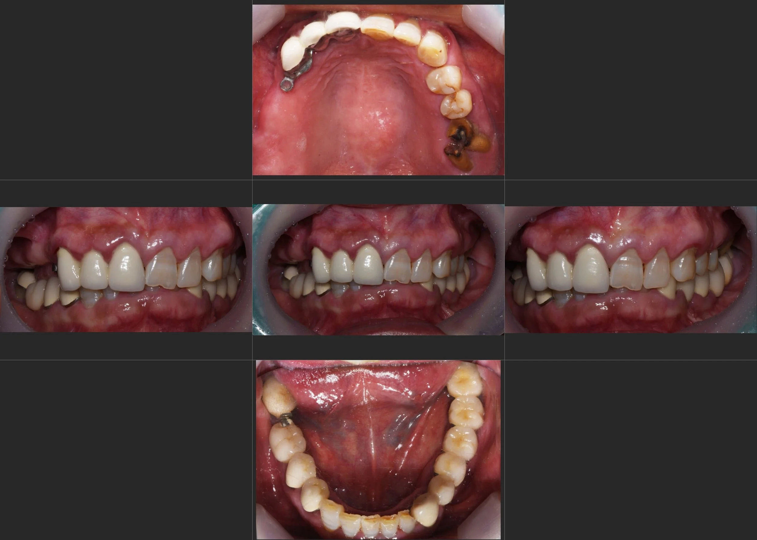
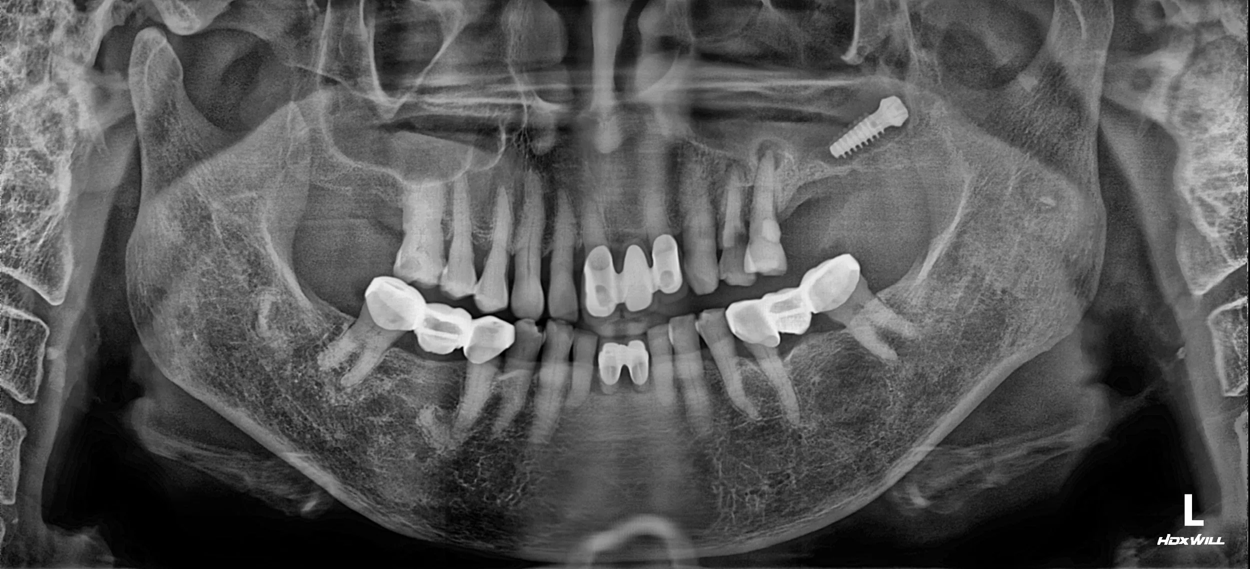
39. Comprehensive Full-Arch Rehabilitation: Overcoming Severe Bone Atrophy and Occlusal Collapse
Jeonghwan Song 31/3/26 Jeonghwan Song 31/3/26

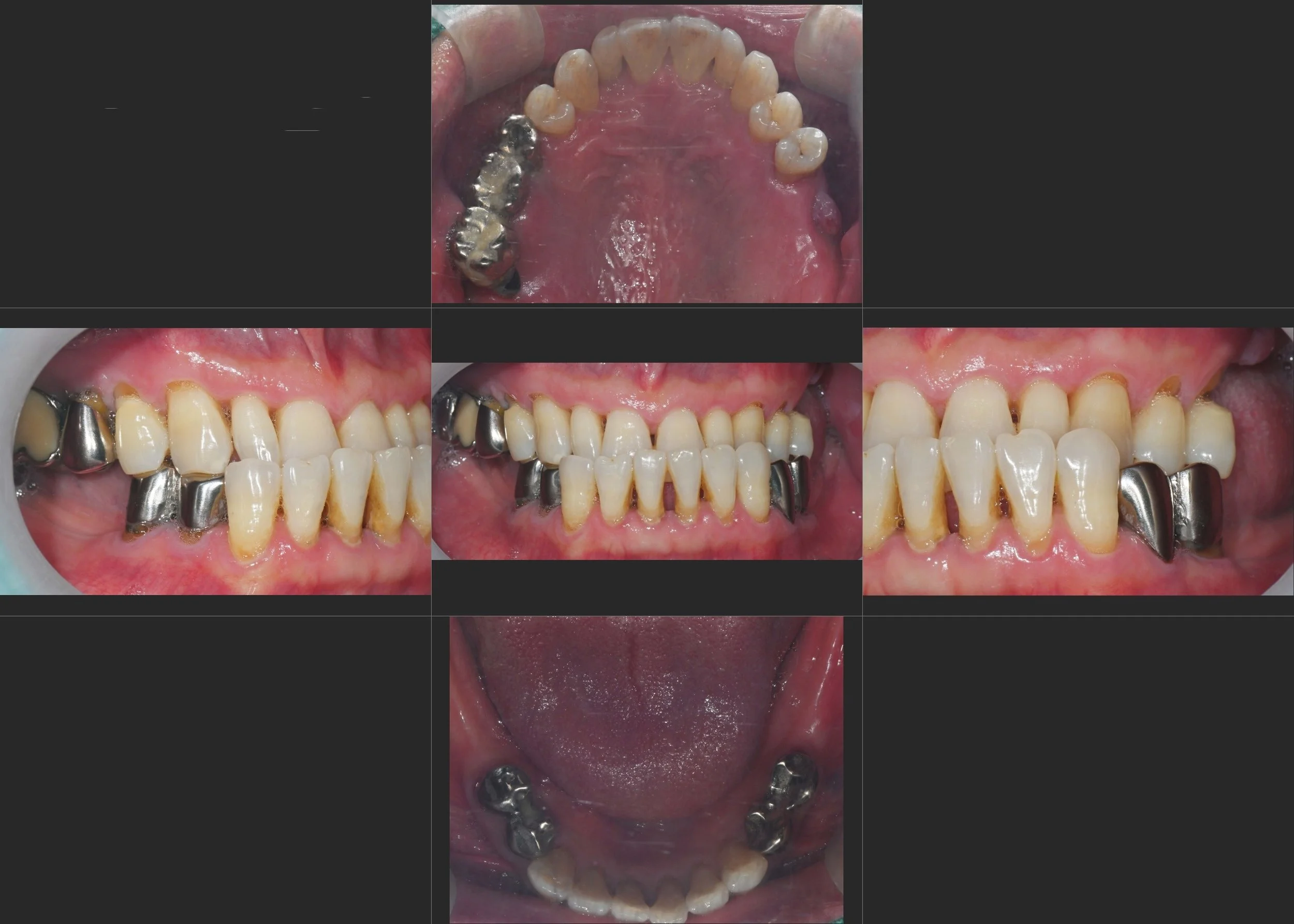
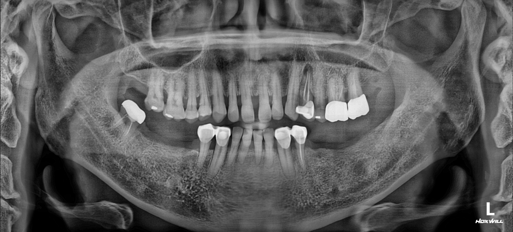
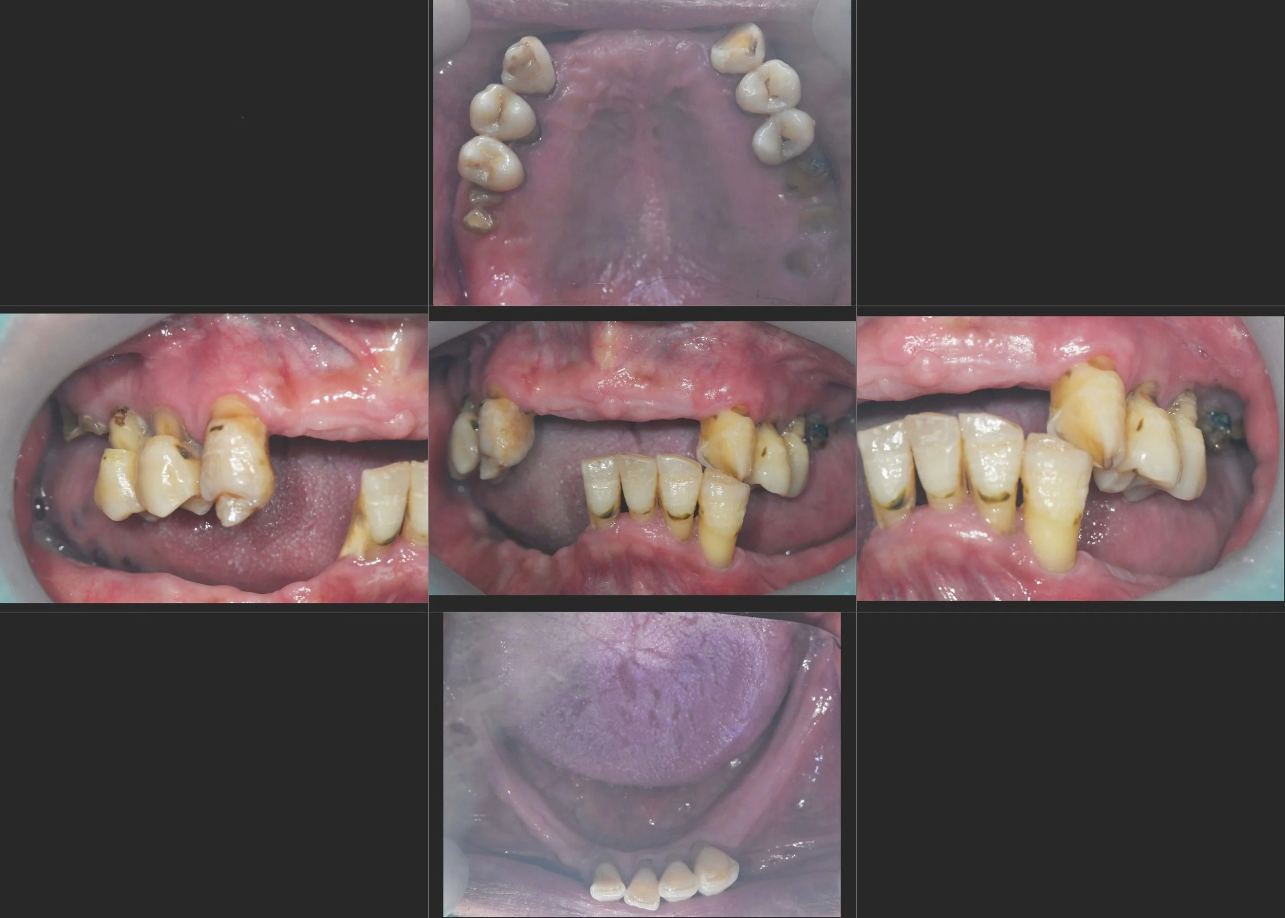
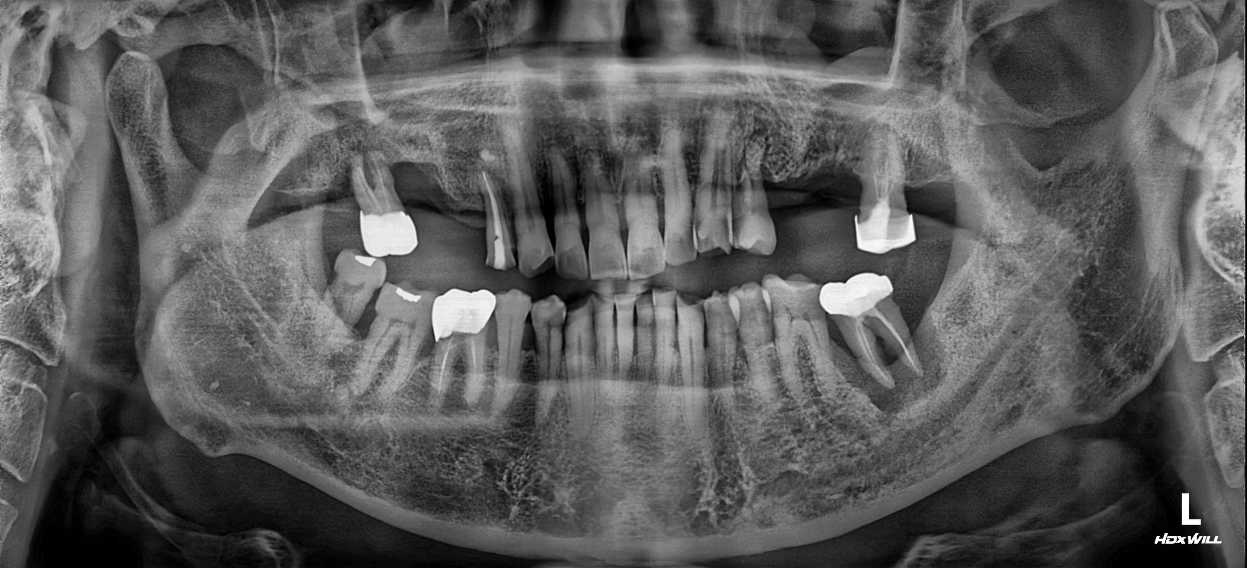
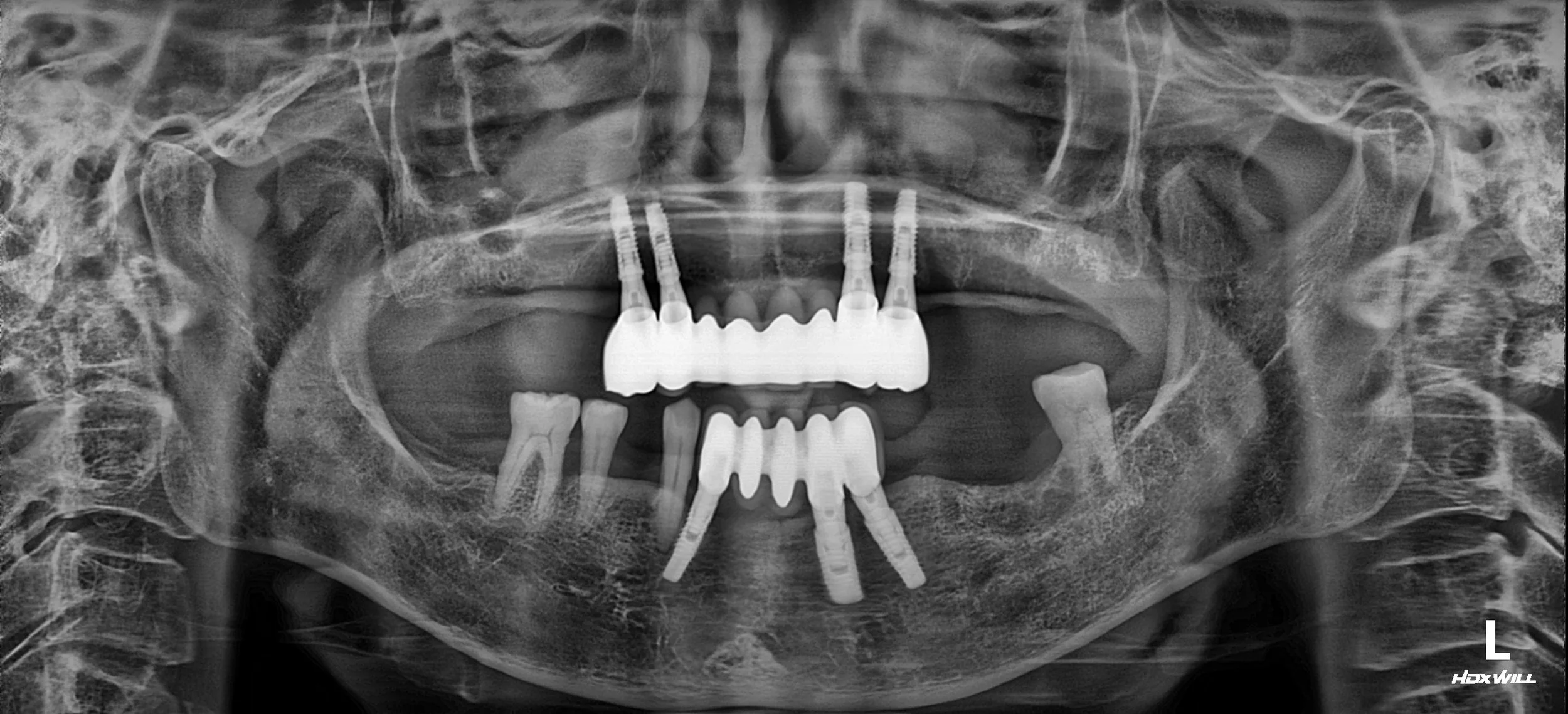
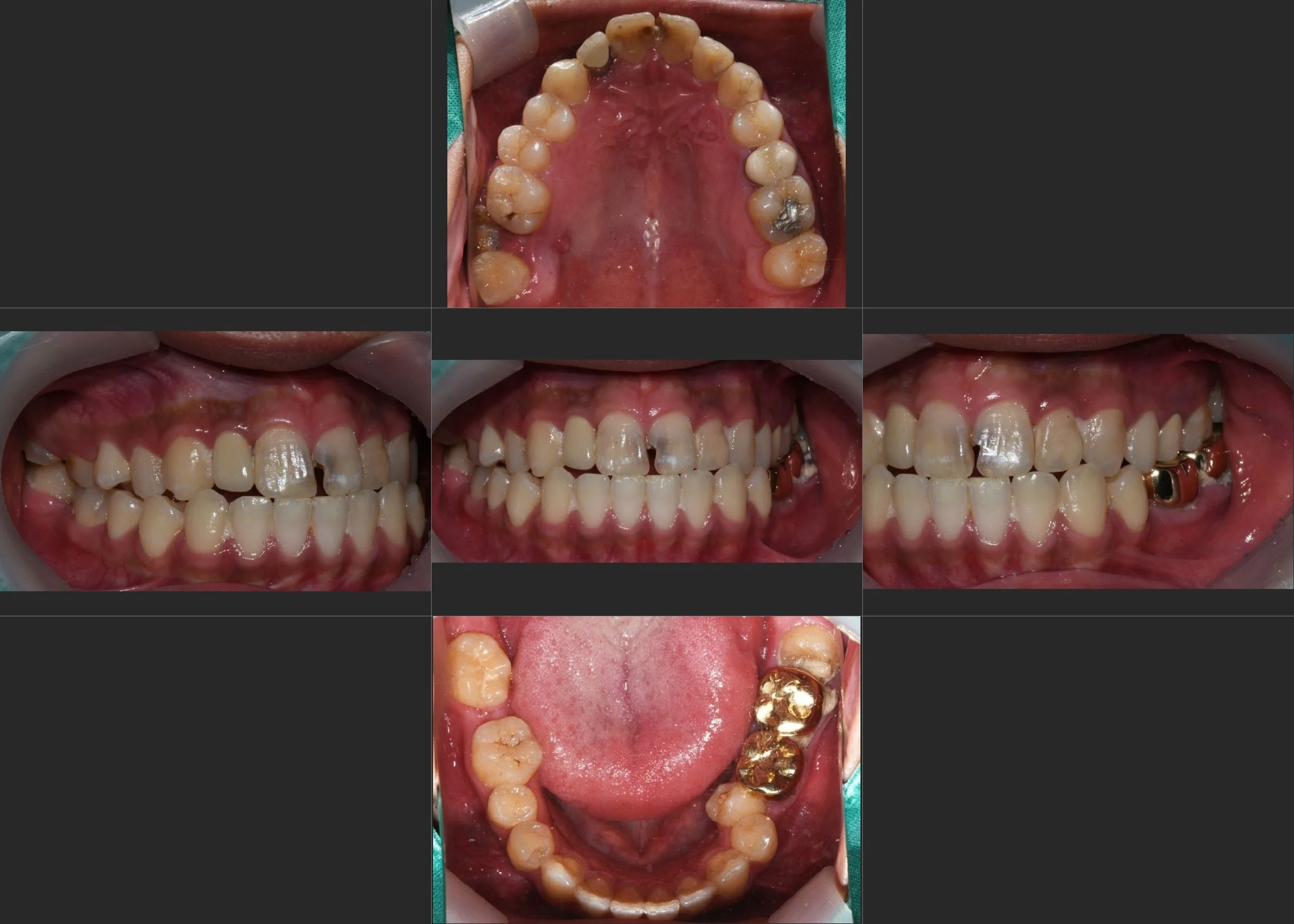
39. Comprehensive Full-Arch Rehabilitation: Overcoming Severe Bone Atrophy and Occlusal Collapse

Management of Generalized Alveolar Resorption and Failing Existing Prosthetics in a Female Patient in her 60s. A Systematic Approach via Bilateral Sinus Augmentation and VDO Elevation.

Read More
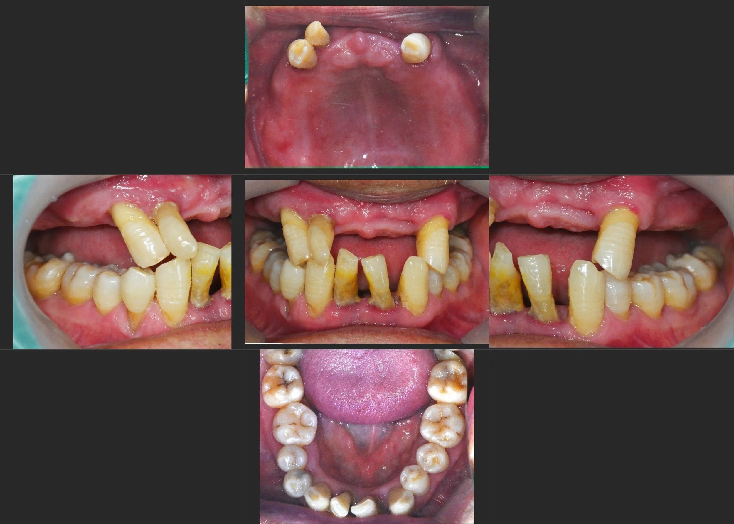
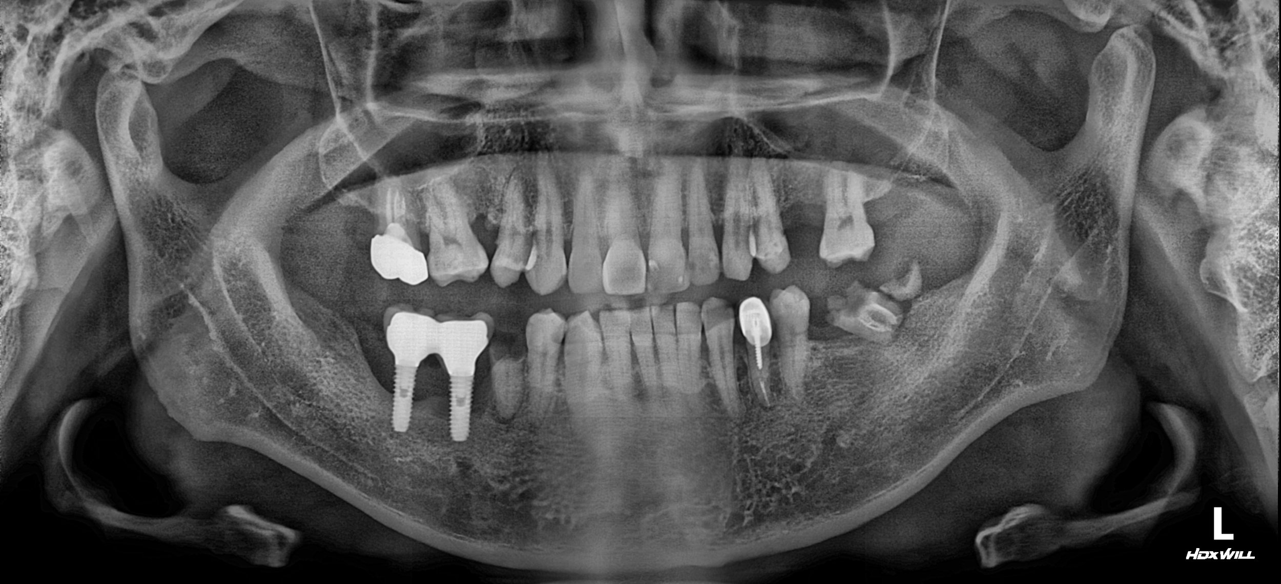
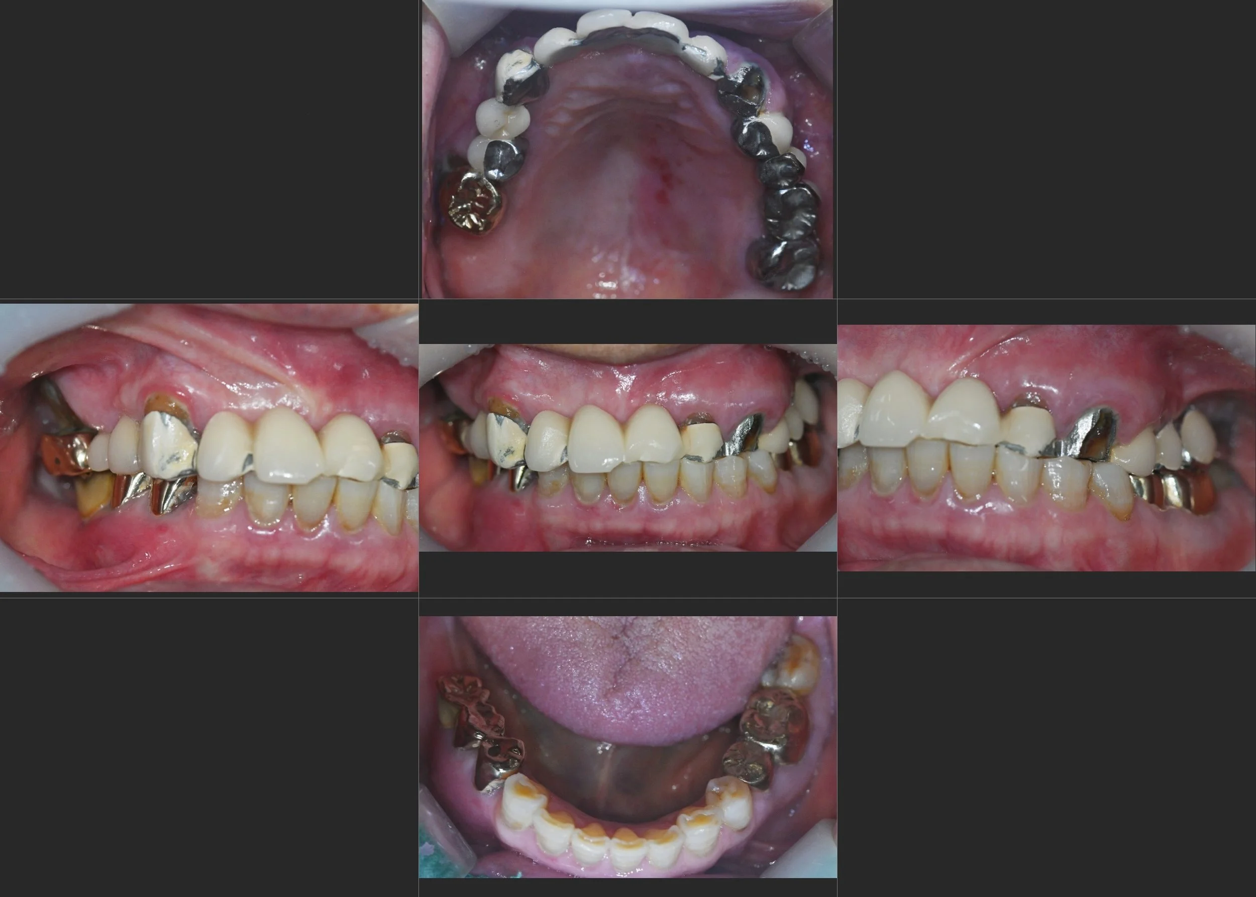
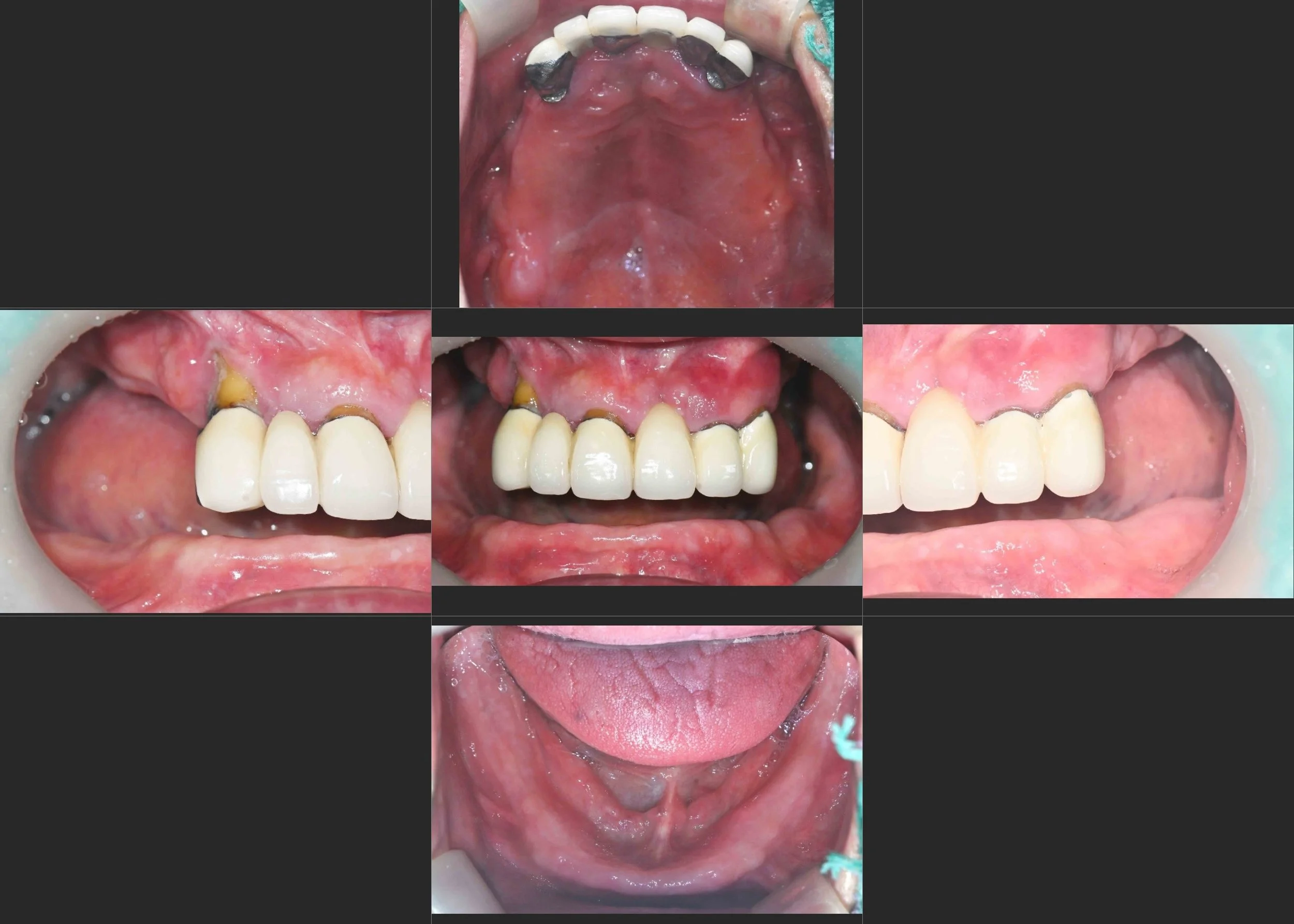
38. Comprehensive Full-Arch Reconstruction: Reversing the Domino Effect of Tooth Loss
Jeonghwan Song 31/3/26 Jeonghwan Song 31/3/26

38. Comprehensive Full-Arch Reconstruction: Reversing the Domino Effect of Tooth Loss

Management of Generalized Severe Periodontitis and Posterior Bite Collapse in a Female Patient in her 60s. A Systematic Approach to VDO Recovery and Strategic Esthetic Rejuvenation.

Read More
37. Reclaiming Functional Comfort: Correcting Iatrogenic Occlusal Failure
Jeonghwan Song 31/3/26 Jeonghwan Song 31/3/26

37. Reclaiming Functional Comfort: Correcting Iatrogenic Occlusal Failure

Resolution of Incomplete Mouth Closure and TMJ Instability in a Female Patient in her 60s. A Conservative but Definitive Approach through Selective Occlusal Adjustment and Posterior Implant Support.

Read More
36. Functional Correction of Mandibular Deviation and TMJ Distress
Jeonghwan Song 31/3/26 Jeonghwan Song 31/3/26

36. Functional Correction of Mandibular Deviation and TMJ Distress

Resolution of Occlusal Interference and TMJ Symptoms via Strategic VDO Elevation in a Female Patient in her 30s. A Multi-phase Rehabilitation focused on Neuromuscular Adaptation and Posterior Support.

Read More
35. Comprehensive Full-Arch Transformation: Restoring Confidence in a Young Phobic Patient
Jeonghwan Song 27/3/26 Jeonghwan Song 27/3/26

35. Comprehensive Full-Arch Transformation: Restoring Confidence in a Young Phobic Patient

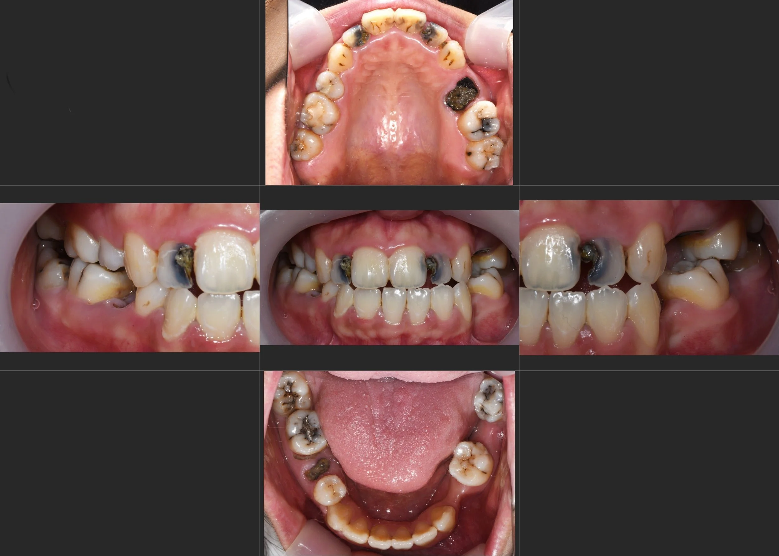
Reversing the effects of generalized rampant caries and occlusal collapse in a female patient in her 20s. A tooth-preserving, implant-assisted approach focused on stable VDO elevation and overcoming social anxiety.

Read More
34. Comprehensive Full-Arch Implant Rehabilitation: A Maintenance-First Approach
Jeonghwan Song 27/3/26 Jeonghwan Song 27/3/26

34. Comprehensive Full-Arch Implant Rehabilitation: A Maintenance-First Approach

Management of Generalized Periodontal Collapse and Alveolar Bone Deficiency in a Female Patient in her 60s. Strategic Segmented Prosthetic Design for Enhanced Long-Term Maintainability.

Read More
33. Comprehensive Revision Therapy: Reclaiming Function from Multiple Implant Failures
Jeonghwan Song 27/3/26 Jeonghwan Song 27/3/26

33. Comprehensive Revision Therapy: Reclaiming Function from Multiple Implant Failures

Complex Implant Salvage via GBR, Vestibuloplasty, and Extended Functional Guidance with Provisionals in a Male Patient in his 50s.

Read More
32. Strategic Phased Rehabilitation: Managing Severe Alveolar Atrophy
Jeonghwan Song 27/3/26 Jeonghwan Song 27/3/26

32. Strategic Phased Rehabilitation: Managing Severe Alveolar Atrophy

Sequential Implant Reconstruction and Advanced Bone Grafting in a Female Patient in her 50s. Establishing a Sustainable Occlusal Blueprint for Future Comprehensive Care.

Read More
31. Full-Arch All-on-6 Rehabilitation: Overcoming Severe Bone Atrophy and Flabby Tissue
Jeonghwan Song 26/3/26 Jeonghwan Song 26/3/26

31. Full-Arch All-on-6 Rehabilitation: Overcoming Severe Bone Atrophy and Flabby Tissue

Transitioning from unstable, ill-fitting dentures to definitive fixed stability in a female patient in her 60s. A comprehensive Maxillary and Mandibular All-on-6 reconstruction to resolve chronic "Flabby Gum" syndrome.

Read More
30. Strategic Full Mouth Rehabilitation: Balancing Clinical Goals and Financial Constraints
Jeonghwan Song 26/3/26 Jeonghwan Song 26/3/26

30. Strategic Full Mouth Rehabilitation: Balancing Clinical Goals and Financial Constraints

VDO Elevation and Aesthetic Reconstruction in a Male Patient in his 70s. A Cost-Effective Approach Restoring Functional Support up to the First Molars while Maximizing Natural Tooth Preservation.

Read More
29. Full Mouth Rehabilitation: Restoring Mandibular Position and Occlusal Balance
Jeonghwan Song 26/3/26 Jeonghwan Song 26/3/26

29. Full Mouth Rehabilitation: Restoring Mandibular Position and Occlusal Balance

Correction of Mandibular Retrusion and Anterior Flaring in a Male Patient in his 50s. Re-establishing a predictable balance of forces through posterior implants and non-prep veneers.

Read More
28. Posterior Occlusal Rehabilitation with Natural Anterior Preservation
Jeonghwan Song 26/3/26 Jeonghwan Song 26/3/26

28. Posterior Occlusal Rehabilitation with Natural Anterior Preservation

Correction of Mandibular Retrusion and Anterior Flaring in a Male Patient in his 50s. Re-establishing a predictable balance of forces through posterior implants and non-prep veneers.

Read More
27. Non-Surgical Correction of Severe Malocclusion and Facial Asymmetry
Jeonghwan Song 26/3/26 Jeonghwan Song 26/3/26

27. Non-Surgical Correction of Severe Malocclusion and Facial Asymmetry

Complex Implant Re-treatment and VDO Elevation in a Male Patient in his 50s. Restoring Functional Balance and Esthetics without Invasive Orthognathic Surgery by Strategically Managed VDO.

Read More
26. Strategic Tooth Preservation in Full-Arch Rehabilitation
Jeonghwan Song 26/3/26 Jeonghwan Song 26/3/26

26. Strategic Tooth Preservation in Full-Arch Rehabilitation

Management of Generalized Periodontal Disease and Loss of Occlusion in a Male Patient in his 50s. A Restorative Approach Prioritizing Natural Tooth Retention and Functional Balance.

Read More
25. Comprehensive Full-Arch Rehabilitation: Re-establishing Occlusal Harmony in Advanced Periodontitis
Jeonghwan Song 26/3/26 Jeonghwan Song 26/3/26

25. Comprehensive Full-Arch Rehabilitation: Re-establishing Occlusal Harmony in Advanced Periodontitis

Management of Generalized Periodontal Collapse and Failing Implant Prosthetics in a Male Patient in his 50s. A Systematic Approach to Occlusal Curve Correction and Aesthetic Anterior Restoration.

Read More
24. Comprehensive Rehabilitation of Class III Malocclusion: Correcting Mandibular Deviation
Jeonghwan Song 26/3/26 Jeonghwan Song 26/3/26

24. Comprehensive Rehabilitation of Class III Malocclusion: Correcting Mandibular Deviation

Resolution of Anterior Mandibular Deviation and Facial Profile Collapse in a Male Patient in his 60s. A Strategic VDO Elevation and Edge-to-Edge Compensatory Approach.

Read More
23. Restoring Function and Trust: Comprehensive Full-Mouth Rehabilitation
Jeonghwan Song 26/3/26 Jeonghwan Song 26/3/26

23. Restoring Function and Trust: Comprehensive Full-Mouth Rehabilitation

Resolution of Pathological Anterior Flaring and Occlusal Collapse in a Skeptical Male Patient in his 60s. A Systematic Approach to VDO Elevation and Periodontal Stabilization.

Read More
22. Strategic Phased Full-Arch Rehabilitation: Managing Mandibular Deviation
Jeonghwan Song 26/3/26 Jeonghwan Song 26/3/26

22. Strategic Phased Full-Arch Rehabilitation: Managing Mandibular Deviation

Pathological Mandibular Deviation and Occlusal Disharmony in a Male Patient in his 60s. A Strategic Phased Rehabilitation prioritizing Functional Zones and VDO Re-establishment.

Read More
21. Comprehensive Full-Arch Rehabilitation: Reclaiming Function from Periodontal Collapse
Jeonghwan Song 28/1/26 Jeonghwan Song 28/1/26

21. Comprehensive Full-Arch Rehabilitation: Reclaiming Function from Periodontal Collapse

Severe Periodontitis and Alveolar Atrophy secondary to failing removable prosthetics in a female patient in her 50s. Systematic VDO elevation and transition to a maintainable, fixed implant-supported environment.

Read More
20. Definitive Full-Arch Rehabilitation: Transitioning from Removable Atrophy to Fixed Stability
Jeonghwan Song 28/1/26 Jeonghwan Song 28/1/26

20. Definitive Full-Arch Rehabilitation: Transitioning from Removable Atrophy to Fixed Stability

Severe alveolar bone resorption and periodontal tissue atrophy in a male patient in his 60s. A streamlined full-mouth implant-supported reconstruction for comprehensive functional and aesthetic recovery.

Read More
Older Posts

Location

Level 11, 33 York Street
Sydney NSW 2000
(DDSS Clinic)

Contact

Email : bridgejhsong@gmail.com

Mobile : +61 400 859 318