37. Reclaiming Functional Comfort: Correcting Iatrogenic Occlusal Failure

Case Summary

A female patient in her 60s presented in a state of clinical and psychological distress. Her primary complaint was an inability to close her mouth properly, a condition that developed following the delivery of extensive but poorly engineered existing prosthetics.

Prior clinicians had failed to consider the patient's neuromuscular and TMJ stability, leading to a "locked-out" bite relationship. Having been told by multiple providers that her condition was "inevitable" and "beyond correction," the patient had nearly given up hope of ever achieving functional comfort.

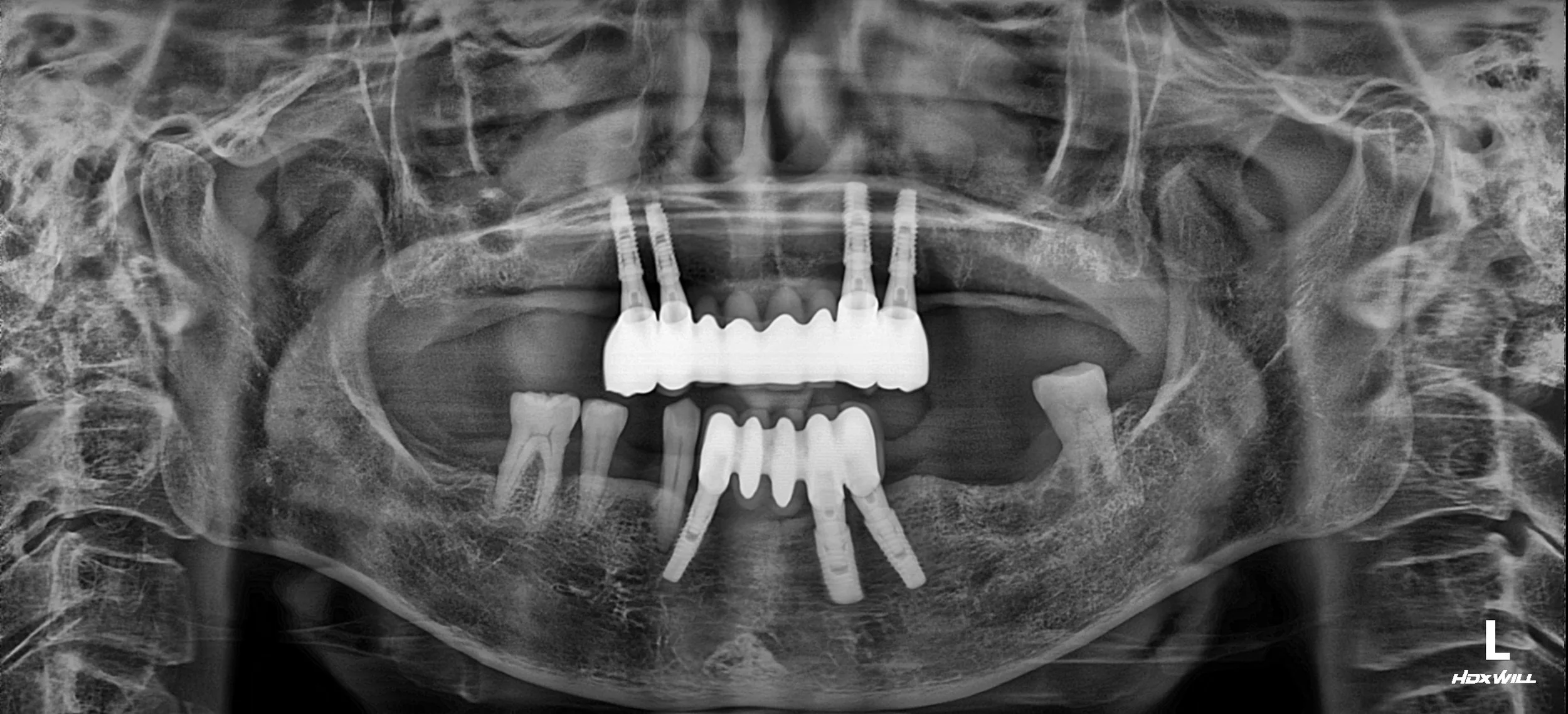
OPG - BEFORE

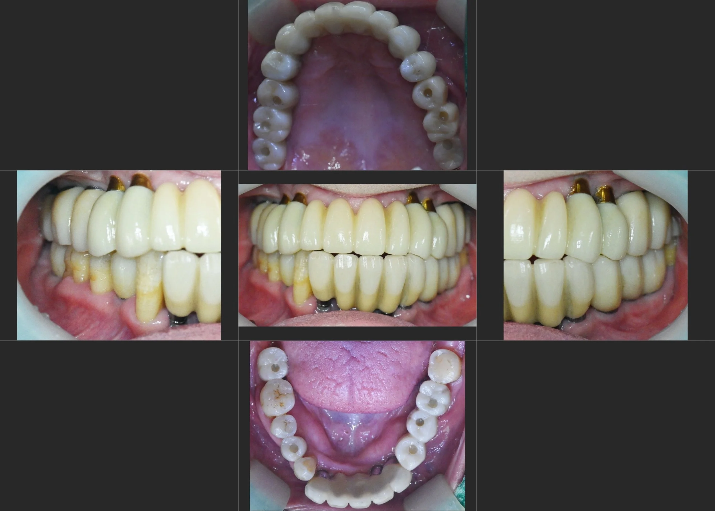
INTRA ORAL - BEFORE

Treatment Objectives

  • Restoration of Closure: To resolve the mechanical interference preventing the patient from closing her mouth comfortably.

  • TMJ Stabilization: To establish a stable centric relation that respects the physiological health of the temporomandibular joints.

  • Posterior Support Recovery: To provide robust vertical support in the molar regions using dental implants to prevent future occlusal collapse.

  • Conservative Intervention: To achieve functional goals with minimal destruction of existing restorations whenever possible, reducing the patient's physical and financial burden.

INTRA ORAL - AFTER

Treatment Approach

The rehabilitation was focused on finding "stability within chaos" through a two-pronged strategy:

  1. Selective Occlusal Adjustment: Instead of immediately removing all existing prosthetics, we performed a meticulous occlusal analysis. By identifying and strategically adjusting specific high spots and interferences on the old crowns, we were able to "unlock" the mandible. This allowed the patient to achieve a stable, closed-mouth position for the first time in years.

  2. Surgical Support (GBR & Implants): To maintain this newly discovered stable bite, the missing posterior support was addressed. Dental implants were placed in the edentulous segments, accompanied by bone grafting to ensure a long-term foundation.

  3. Functional Integration: The final implant-supported crowns were designed to harmonize with the adjusted natural dentition, creating a "mutually protected" occlusion where the posterior teeth bear the load of closure, protecting the anterior segment and the TMJ.

The transformation was profound. Beyond the mechanical success of restoring her bite, the patient regained her confidence and quality of life, proving that even "hopeless" cases can be resolved with the right occlusal insight.

Previous
Previous

38. Comprehensive Full-Arch Reconstruction: Reversing the Domino Effect of Tooth Loss

Next
Next

36. Functional Correction of Mandibular Deviation and TMJ Distress