38. Comprehensive Full-Arch Reconstruction: Reversing the Domino Effect of Tooth Loss

Case Summary

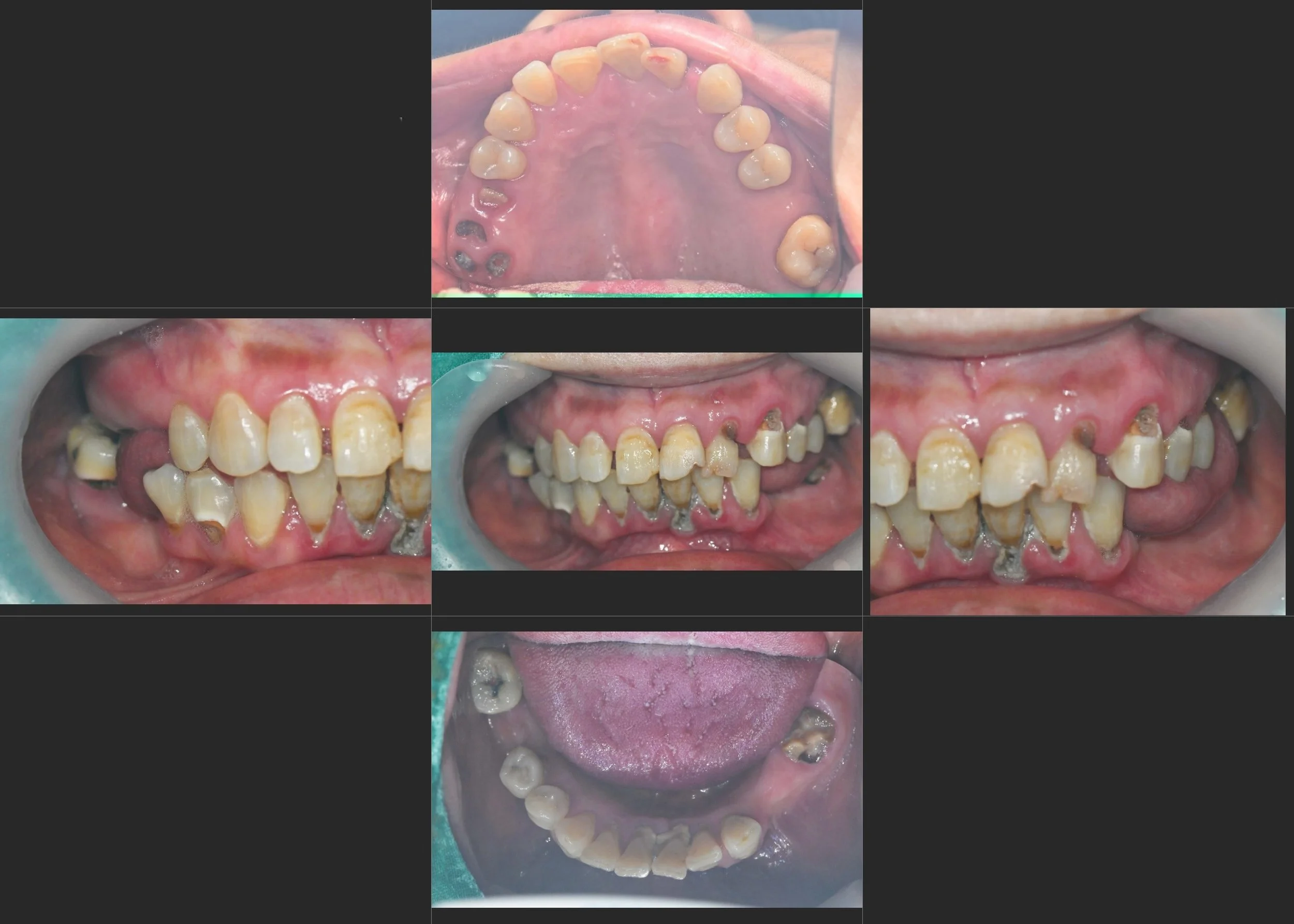
A female patient in her 60s presented with a severely compromised dentition and significant functional distress. Years of generalized severe periodontitis had led to the following clinical challenges:

  • Posterior Support Failure: The loss of multiple posterior teeth had caused a total collapse of the Vertical Dimension of Occlusion (VDO).

  • Anterior Deterioration: Without posterior "stops," excessive occlusal forces were transferred to the anterior segment, leading to pathological wear, spacing, and progressive periodontal breakdown of the front teeth.

  • Aesthetic & Functional Impairment: The patient suffered from reduced chewing efficiency and was highly self-conscious about her failing smile.

OPG - BEFORE

INTRA ORAL - BEFORE

Treatment Objectives

  • Foundation Stabilization: To control the active periodontal infection and stabilize salvageable natural teeth.

  • Posterior Reconstruction (GBR & Implants): To rebuild the alveolar foundation in the molar regions via Guided Bone Regeneration (GBR) and strategic implant placement.

  • Occlusal Equilibrium: To re-establish a stable vertical dimension and a balanced occlusal curve to protect both implants and natural teeth.

  • Aesthetic Rejuvenation: To restore the anterior segment with high-strength ceramic restorations, harmonizing function and natural beauty.

  • Biological Preservation: To prioritize the preservation of remaining natural teeth wherever clinically viable to maintain proprioception.

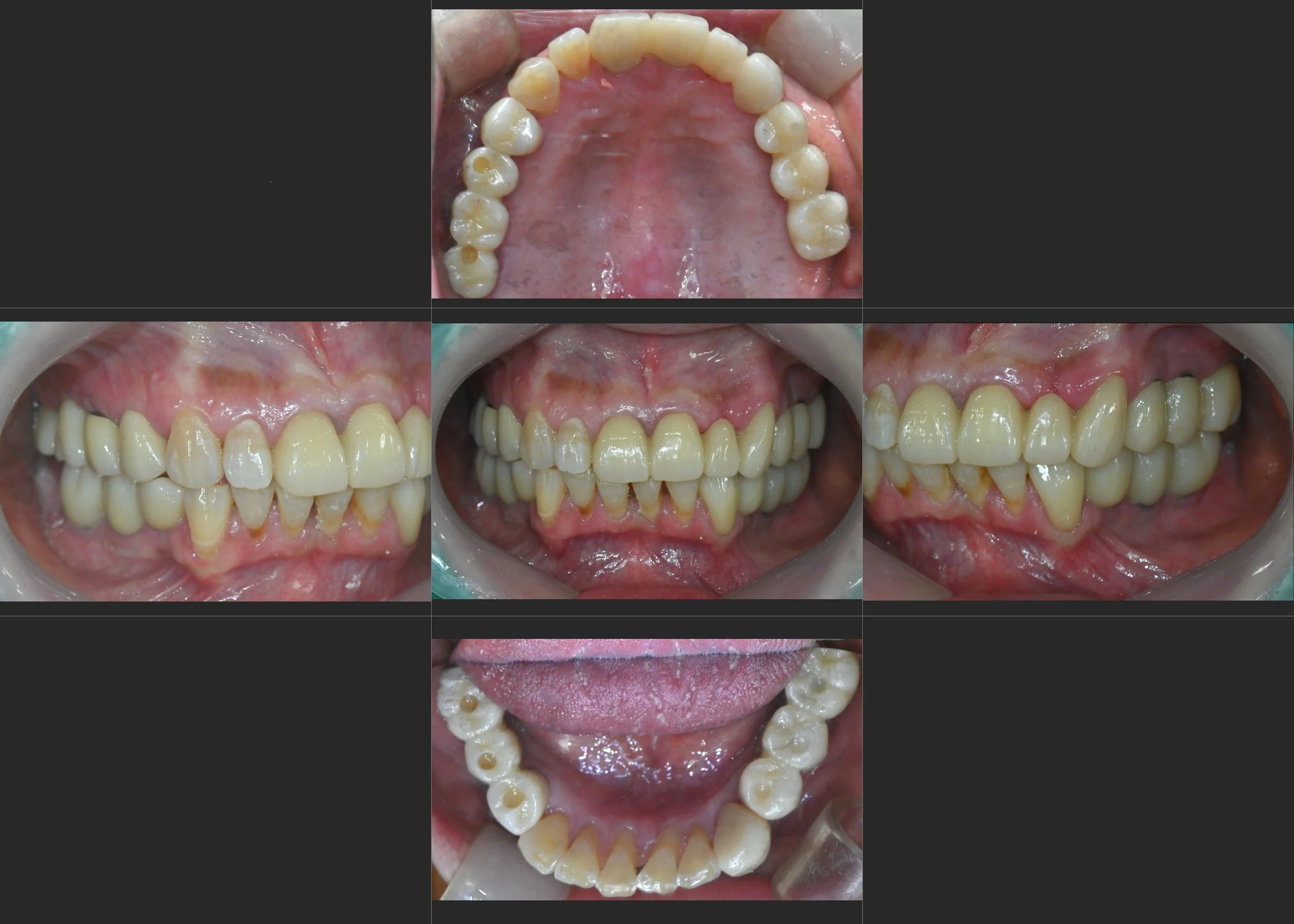
INTRA ORAL - AFTER

Treatment Approach

The rehabilitation was executed with a "stabilize then reconstruct" philosophy:

  1. Initial Phase: Comprehensive periodontal therapy was conducted to create a healthy environment. Hopeless units were removed, and remaining natural teeth were stabilized.

  2. Surgical Phase: Extensive bone grafting (GBR) was performed in the posterior segments to compensate for severe atrophy. Following integration, dental implants were placed to serve as the primary occlusal anchors.

  3. VDO & Provisional Phase: The vertical dimension was systematically raised using long-term provisional restorations. This phase was critical for monitoring the patient's adaptation to the new bite height and ensuring a stable centric relation.

  4. Final Prosthetic Delivery: Once functional stability was confirmed, the final zirconia bridges and anterior crowns were delivered. The final occlusal scheme provides even force distribution, effectively "unloading" the anterior teeth and ensuring long-term prosthetic durability.

The result is a functional, stable, and highly aesthetic outcome that has profoundly improved the patient's quality of life and social confidence.

Previous
Previous

39. Comprehensive Full-Arch Rehabilitation: Overcoming Severe Bone Atrophy and Occlusal Collapse

Next
Next

37. Reclaiming Functional Comfort: Correcting Iatrogenic Occlusal Failure