39. Comprehensive Full-Arch Rehabilitation: Overcoming Severe Bone Atrophy and Occlusal Collapse

Case Summary

A female patient in her 60s presented with a severely compromised dentition and significant functional distress. Despite having existing implants, a combination of incorrect occlusal design and poor maintenance had led to:

  • Gingival and Occlusal Breakdown: The supporting tissues were inflamed, and the overall bite relationship had collapsed.

  • Severe Alveolar Bone Resorption: Long-standing disease around poorly-maintained natural teeth had resulted in extreme vertical and horizontal bone loss.

  • Functional Failure: The patient suffered from an inability to chew effectively and was dissatisfied with her aging facial appearance caused by the loss of vertical dimension.

OPG - BEFORE

INTRA ORAL - BEFORE

Treatment Objectives

  • Foundation Reconstruction: To perform bilateral maxillary sinus bone grafts to create sufficient height for posterior implant placement.

  • Functional Occlusal Recovery: To re-establish a stable and functional bite relationship using strategically placed implants, even in areas of extreme bone loss.

  • VDO Elevation: To recover the lost vertical dimension of occlusion (VDO), restoring facial support and youthful proportions.

  • Aesthetic Rejuvenation: To finalize the case with high-strength ceramic restorations that harmonize with the patient's features.

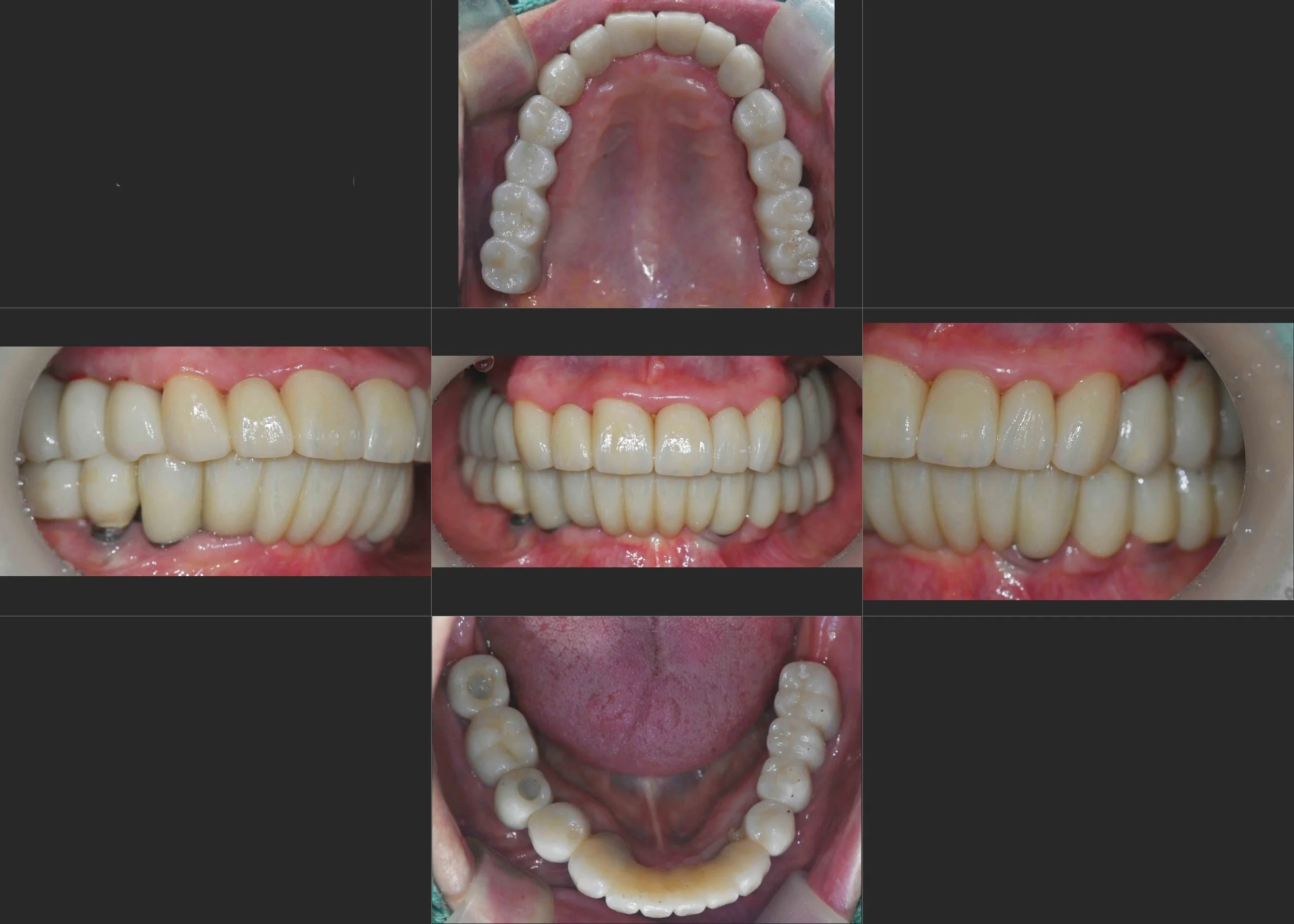
INTRA ORAL - AFTER

Treatment Approach

The rehabilitation was managed through a disciplined, multi-phase protocol to ensure long-term stability:

  1. Surgical Foundation (Bilateral Sinus Lifts): Due to the lack of bone height in the upper posterior segments, extensive sinus bone grafting was performed on both sides. This provided the necessary foundation for the subsequent implant surgery.

  2. Implant-Driven Reconstruction: Dental implants were strategically placed across both arches to replace failing teeth and existing problematic implants. These served as the new "occlusal stops" for the reconstruction.

  3. VDO Management & Adaptation: The patient's vertical dimension was systematically raised using long-term provisional restorations. This phase allowed for the stabilization of the TMJ and neuromuscular system, ensuring the new bite height was both comfortable and reproducible.

  4. Final Definitive Delivery: Once functional stability and gingival health were verified, the final high-precision zirconia bridges and crowns were delivered. The result is a healthy, maintainable oral environment with a balanced occlusion and a naturally rejuvenated aesthetic profile.

Next
Next

38. Comprehensive Full-Arch Reconstruction: Reversing the Domino Effect of Tooth Loss