36. Functional Correction of Mandibular Deviation and TMJ Distress

Case Summary

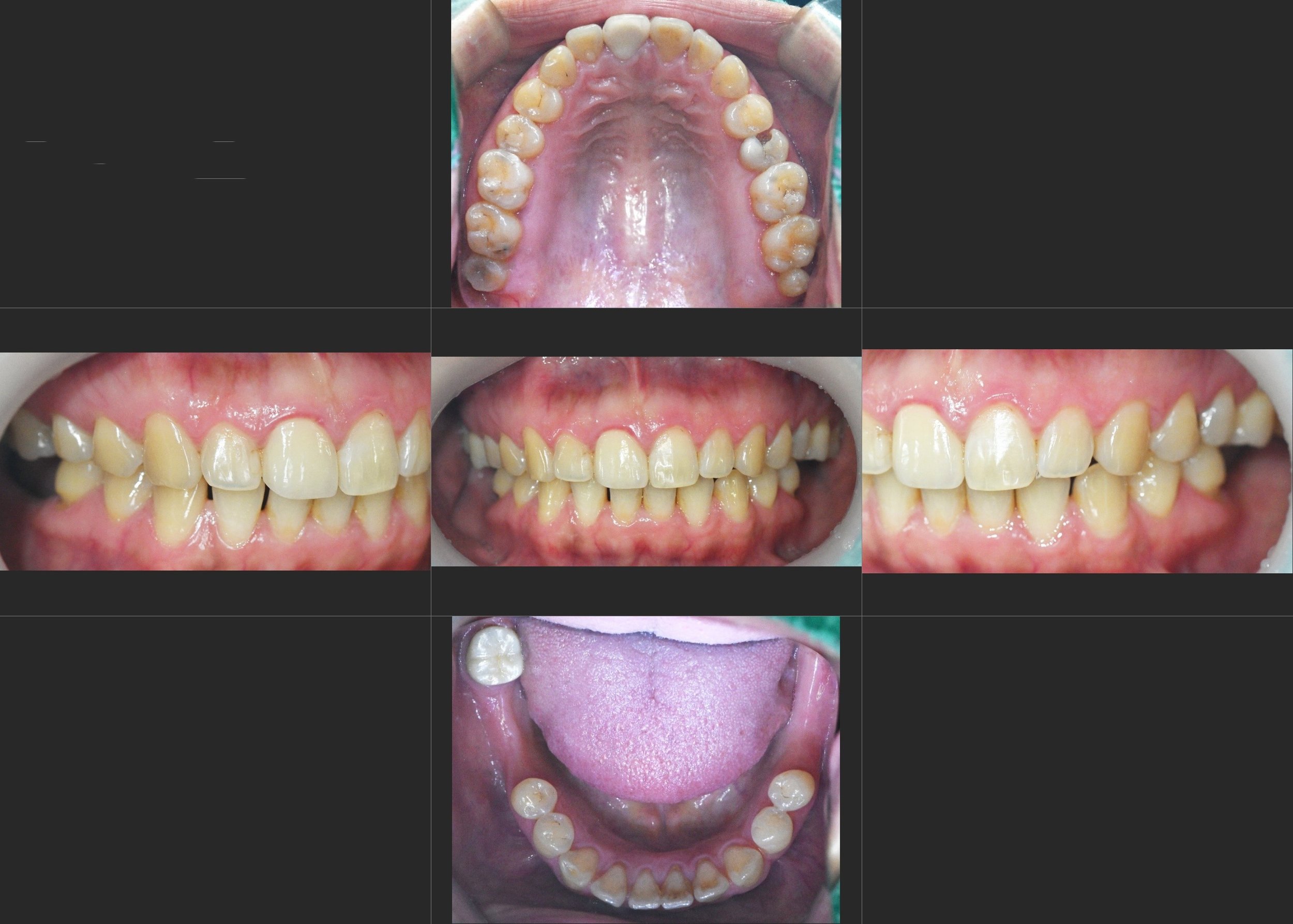
A female patient in her 30s presented with chronic TMJ discomfort and a noticeable shifting of the jaw upon closure. Clinical and radiographic evaluation revealed a complex occlusal disharmony:

  • Posterior Bite Collapse & Supra-eruption: The long-term loss of mandibular posterior teeth had allowed the opposing maxillary molars to erupt downward (supra-eruption), disrupting the occlusal plane.

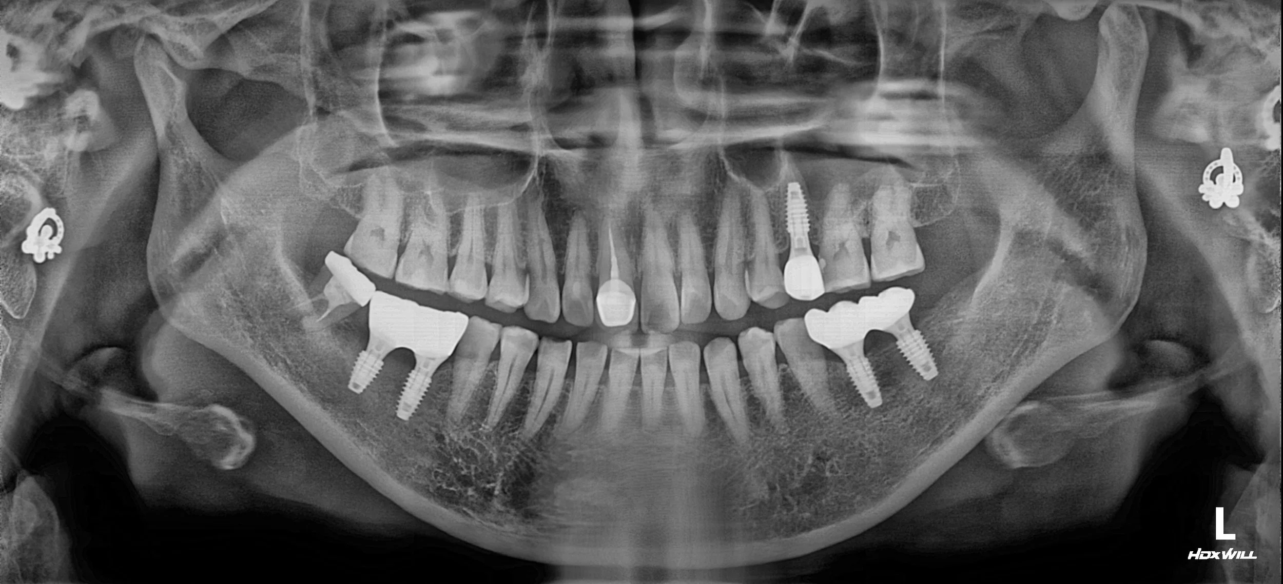
  • Pathological Mandibular Deviation: A premature contact at tooth #48 acted as a functional interference, forcing the mandible to deviate from its natural path during closure.

  • TMJ Dysfunction: This constant displacement had led to chronic muscle tension and symptomatic TMJ distress, significantly impacting the patient's quality of life.

OPG - BEFORE

INTRA ORAL - BEFORE

Treatment Objectives

  • Occlusal Interference Elimination: To remove the premature contact at #48 and "unlock" the mandible.

  • Posterior Support Recovery: To place dental implants in the mandibular segments to provide stable, long-term occlusal stops.

  • Slight VDO Elevation: To subtly increase the vertical dimension, creating space for restorations and relieving pressure on the TMJ.

  • Neuromuscular Stabilization: To ensure the resolution of TMJ symptoms through a guided adaptation period before finalizing the prosthetics.

INTRA ORAL - AFTER

Treatment Approach

The treatment was executed with a focus on long-term functional stability:

  1. Interference Management & Implant Surgery: The primary interference (#48) was managed to allow the mandible to return to a more centered position. Dental implants were strategically placed in the edentulous posterior areas.

  2. Slight VDO Elevation: Using provisional restorations, the vertical dimension was slightly elevated. This was critical to re-establish a harmonious occlusal curve and to compensate for the previous supra-eruption of the upper teeth.

  3. Extended Adaptation Phase: A critical component of this case was the multi-month adaptation period. The patient was monitored closely while wearing temporary restorations to verify that the TMJ symptoms had fully subsided and that the new mandibular position was stable and reproducible.

  4. Final Delivery: Once functional comfort was confirmed, the final restorations were delivered. The new occlusal scheme provides balanced bilateral support, protecting the joints and ensuring a stable, centered bite.

The patient achieved complete relief from her TMJ symptoms and regained full masticatory function with a stable, harmonized occlusion.

Previous
Previous

37. Reclaiming Functional Comfort: Correcting Iatrogenic Occlusal Failure

Next
Next

35. Comprehensive Full-Arch Transformation: Restoring Confidence in a Young Phobic Patient