24. Comprehensive Rehabilitation of Class III Malocclusion: Correcting Mandibular Deviation

Case Summary

A male patient in his 60s presented with a pronounced Class III skeletal relationship and a significantly collapsed facial profile. The loss of posterior occlusal height over time had caused the mandible to deviate further anteriorly, worsening the underbite and functional instability. The patient complained of reduced chewing efficiency and was highly dissatisfied with his "sunken" facial appearance.

OPG - BEFORE

INTRA ORAL - BEFORE

Treatment Objectives

  • VDO Elevation: To recover the lost vertical dimension and create the necessary restorative space.

  • Deviation Correction: To guide the mandible back from its pathological anterior-shifted position to a more neutral centric relation.

  • Compromised Occlusion: To establish a stable and functional edge-to-edge bite relationship as a realistic clinical compromise for the skeletal Class III condition.

  • Facial Rejuvenation: To restore mid-face support and improve the patient's overall facial profile through prosthetic realignment.

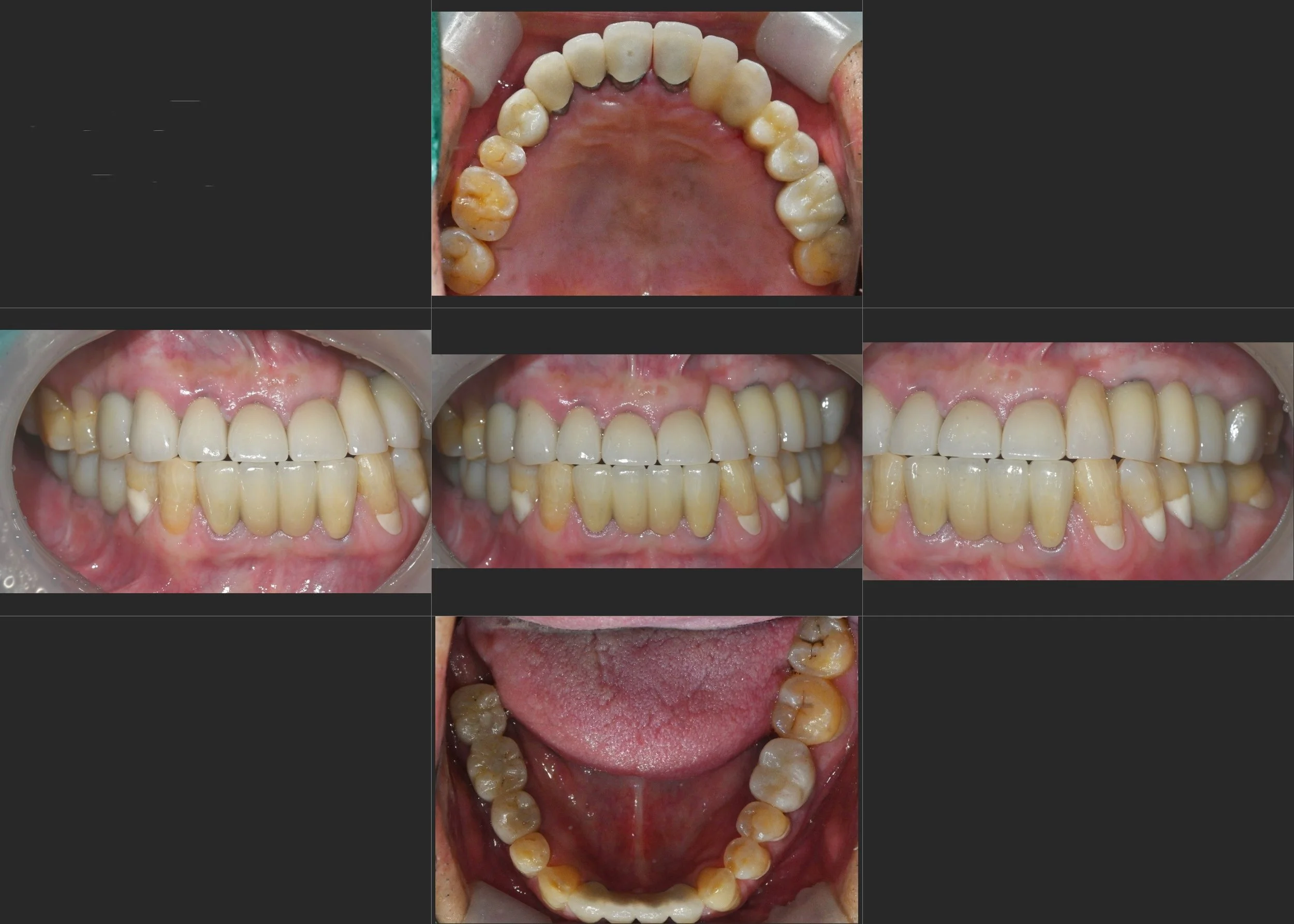
INTRA ORAL - AFTER

Treatment Approach

The rehabilitation was focused on resetting the mandibular position through systematic occlusal height management:

  1. Occlusal Plane Re-establishment: Posterior support was re-established through strategic implant placement and crown restorations. By elevating the Vertical Dimension of Occlusion (VDO), we were able to "unlock" the trapped mandible.

  2. Mandibular Repositioning: As the occlusal height was lifted, the mandible was guided to a more posterior and physiologically stable position. This effectively reduced the severity of the anterior deviation.

  3. Edge-to-Edge Reconstruction: Due to the inherent skeletal Class III discrepancy, achieving a standard Class I overjet was not feasible. Instead, the final prosthetics were designed to meet in an edge-to-edge relationship. This approach provided maximum functional stability while preventing future prosthetic fracture.

  4. Aesthetic Outcome: The final delivery of the full-arch restorations significantly improved the lip support and restored the lower facial height, resulting in a dramatic rejuvenation of the patient's facial profile.

The patient experienced a successful transition from a functional and aesthetic failure to a stable, fixed rehabilitation that he can now maintain with confidence.

Previous
Previous

25. Comprehensive Full-Arch Rehabilitation: Re-establishing Occlusal Harmony in Advanced Periodontitis

Next
Next

23. Restoring Function and Trust: Comprehensive Full-Mouth Rehabilitation