20. Definitive Full-Arch Rehabilitation: Transitioning from Removable Atrophy to Fixed Stability

Case Summary

A male patient in his 60s presented with a severely compromised dentition and significant functional limitations. His clinical history was characterized by:

  • Long-term Denture Wear: Years of relying on removable partial dentures had led to progressive disuse atrophy of the periodontal tissues and underlying alveolar bone.

  • Failing Anterior Bridge: A pre-existing maxillary anterior bridge had failed, causing localized but severe vertical and horizontal bone loss in the aesthetic zone.

  • Complete Occlusal Failure: With no stable posterior stops and a failing anterior segment, the patient's masticatory efficiency was nearly non-existent.

OPG - BEFORE

INTRA ORAL - BEFORE

Treatment Objectives

  • Fixed Restoration: To eliminate the instability of removable dentures by providing a rigid, implant-supported foundation.

  • Bone Management: To address the severe bone loss caused by the failing bridge and long-term atrophy.

  • Aesthetic Rejuvenation: To restore a natural smile line and facial profile that had collapsed due to tooth and bone loss.

  • Simplified Occlusal Scheme: To establish a predictable, full-arch occlusal relationship that is sustainable and easy for the patient to maintain.

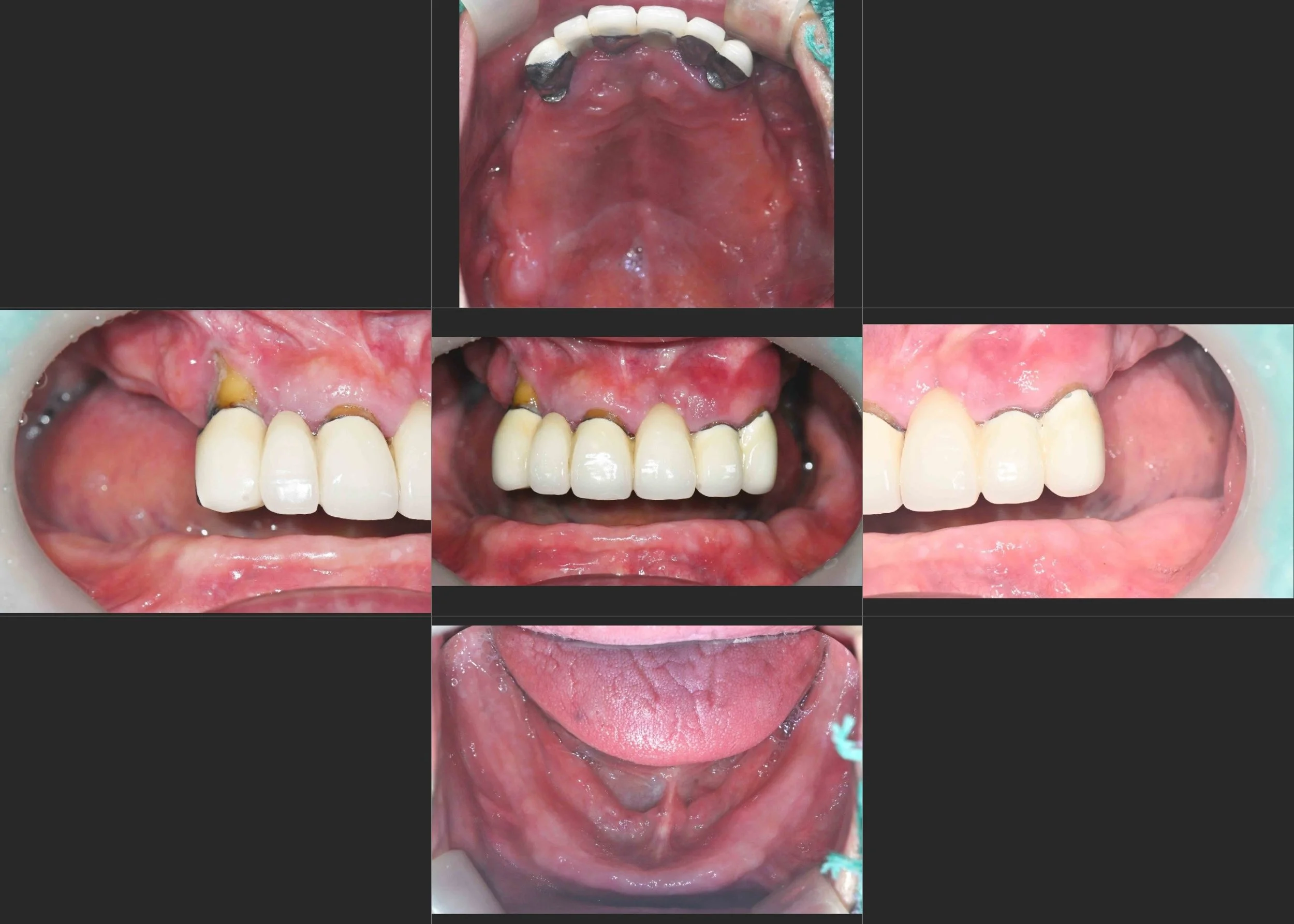
INTRA ORAL - AFTER

Treatment Approach

  1. Surgical Phase: hopless teeth and the failing anterior bridge were removed. Multiple dental implants were strategically placed across both arches. In areas of severe bone deficiency, site-specific bone grafting was performed to ensure long-term implant stability and proper prosthetic emergence profiles.

  2. Prosthetic Simplification: While partial reconstructions require harmonizing with existing teeth, this full-arch approach allowed for a "clean slate" design. This simplified the establishment of the new vertical dimension and centric relation, ensuring a more stable outcome.

  3. Final Delivery: Precision-milled, full-arch fixed bridges were delivered. These restorations were designed to provide maximum durability for mastication while restoring the lip support and aesthetics that the patient had lost during his years of denture use.

The transition from a failing, removable state to a fixed, full-arch solution has provided the patient with a level of comfort and confidence he had not experienced in decades.

Previous
Previous

21. Comprehensive Full-Arch Rehabilitation: Reclaiming Function from Periodontal Collapse

Next
Next

19. Systematic Full-Arch Rehabilitation: Balancing Implant Support and Natural Tooth Preservation