21. Comprehensive Full-Arch Rehabilitation: Reclaiming Function from Periodontal Collapse

Case Summary

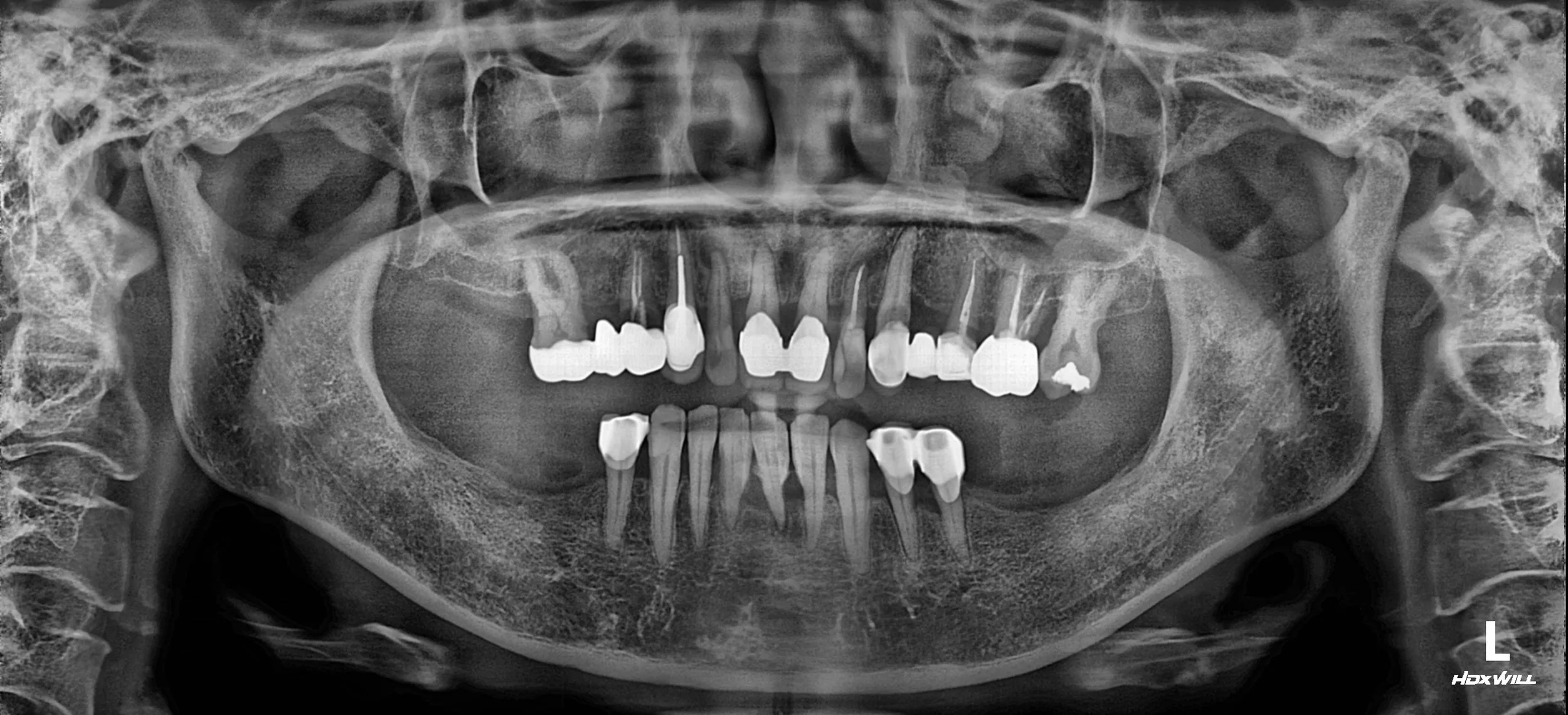
A female patient in her 50s presented with a severely compromised dentition and significant functional distress. Having relied on ill-fitting partial dentures for a long period, the lack of stable posterior support had led to:

  • Occlusal Collapse: Loss of posterior bite force and a resulting decrease in Vertical Dimension of Occlusion (VDO).

  • Advanced Periodontal Disease: Severe horizontal and vertical bone loss across both arches, with significant tooth mobility.

  • Prosthetic Failure: The existing removable and fixed prosthetics were no longer functional, exacerbating alveolar bone resorption.

OPG - BEFORE

INTRA ORAL - BEFORE

Treatment Objectives

  • Bilateral Posterior Restoration: To re-establish stable posterior stops using dental implants.

  • VDO Elevation: To recover the lost vertical dimension, creating space for functional and aesthetic restorations.

  • Anterior Aesthetic Rejection: To replace failing anterior units with a combination of implants and high-strength ceramic prosthetics.

  • Transition to Sustainability: To convert a high-risk, failing environment into a stable, fixed state that is easy for the patient to maintain over the long term.

INTRA ORAL - AFTER

Treatment Approach

The rehabilitation was managed through a structured, multi-phase protocol:

  1. Periodontal & Surgical Phase: Removal of non-restorable teeth followed by comprehensive periodontal therapy. Dental implants were strategically placed in both the anterior and posterior segments. Extensive guided bone regeneration (GBR) was required in areas of severe atrophy to ensure a stable foundation.

  2. VDO Management: The patient’s vertical dimension was systematically elevated using long-term provisional restorations. This phase was crucial for assessing the patient's neuromuscular adaptation to the new bite height and refining the final occlusal plane.

  3. Prosthetic Reconstruction: Once stability was confirmed, definitive zirconia implant-supported bridges and crowns were delivered. Particular attention was paid to the "emergence profile" and crown contouring to ensure the patient could easily perform oral hygiene.

  4. Maintenance Protocol: The final occlusal scheme was designed to be "maintenance-friendly," focusing on easy access for interdental cleaning, which is vital for patients with a history of severe periodontitis.

The patient successfully transitioned from the discomfort of failing dentures to the security of a fixed, functional, and aesthetically pleasing dentition.

Previous
Previous

22. Strategic Phased Full-Arch Rehabilitation: Managing Mandibular Deviation

Next
Next

20. Definitive Full-Arch Rehabilitation: Transitioning from Removable Atrophy to Fixed Stability