22. Strategic Phased Full-Arch Rehabilitation: Managing Mandibular Deviation

Case Summary

A male patient in his 60s presented with a severely distorted occlusal relationship. Due to long-term reliance on ill-fitting prosthetics, his mandible had deviated, leading to an unstable and "twisted" bite.

The patient’s primary clinical concerns were:

  • Occlusal Disharmony: A significant mismatch between the maxillary and mandibular arches.

  • Segmental Treatment Preference: The patient requested a phased approach, desiring to address the right posterior and anterior segments first, while deferring the left side for a later date.

  • Aesthetic & Functional Collapse: The anterior segment was compromised both functionally and aesthetically due to the lack of posterior support.

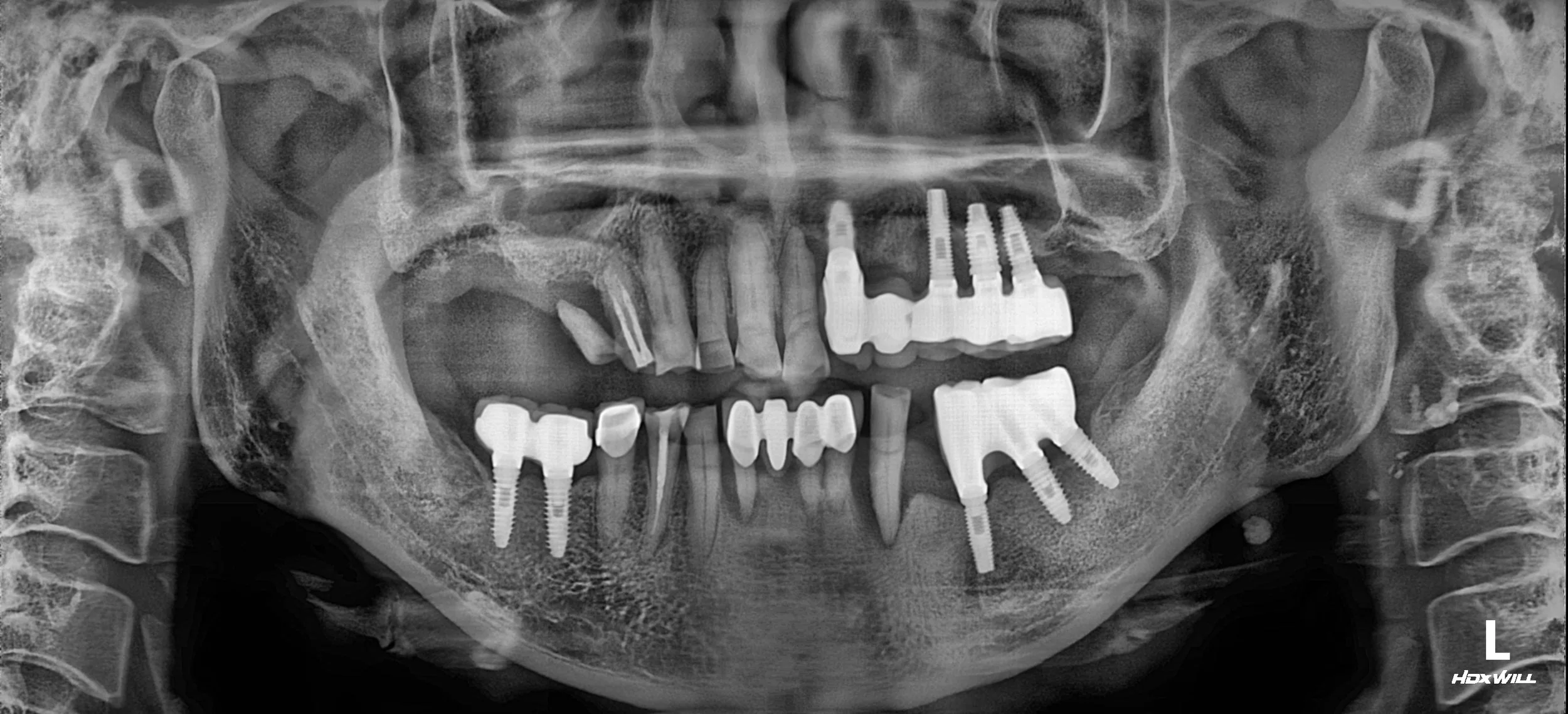
OPG - BEFORE

INTRA ORAL - BEFORE

Treatment Objectives

  • VDO Re-establishment: To reset the vertical dimension of occlusion to a physiologically stable height.

  • Sequential Reconstruction: To successfully deliver final restorations for the right posterior and anterior segments as a priority.

  • Correction of Deviation: To guide the mandible back to a more centered position despite the missing left-side support.

  • Long-term Planning: To design the current restorations with the foresight that the left posterior segment will undergo surgical intervention in the future.

INTRA ORAL - AFTER

Treatment Approach

The treatment followed a deliberate sequence to accommodate the patient's needs while ensuring clinical success:

  1. VDO Reset & Centric Relation: The first and most crucial step was determining the new occlusal height. We reset the VDO to correct the mandibular deviation and provide a stable reference for the reconstruction.

  2. Priority Segment Delivery: The right posterior implant-supported bridges and the anterior aesthetic crowns were completed first. This restored immediate chewing function on one side and significantly improved the patient’s facial aesthetics.

  3. Compromised Left Occlusion (Intentional): Following the patient's request, the left posterior occlusion was temporarily left in its current state. While this resulted in a non-ideal bilateral balance for the time being, the right and anterior segments were engineered to withstand the loads until the left-side surgery is performed.

  4. Future-Proofing: The entire occlusal scheme was designed so that the future left-side restorations can be seamlessly integrated into the already established VDO.

The patient is highly satisfied with the improved aesthetics and the ability to function on the right side, with a clear understanding and plan for the final phase of his full-mouth journey.

Previous
Previous

23. Restoring Function and Trust: Comprehensive Full-Mouth Rehabilitation

Next
Next

21. Comprehensive Full-Arch Rehabilitation: Reclaiming Function from Periodontal Collapse