19. Systematic Full-Arch Rehabilitation: Balancing Implant Support and Natural Tooth Preservation

Case Summary

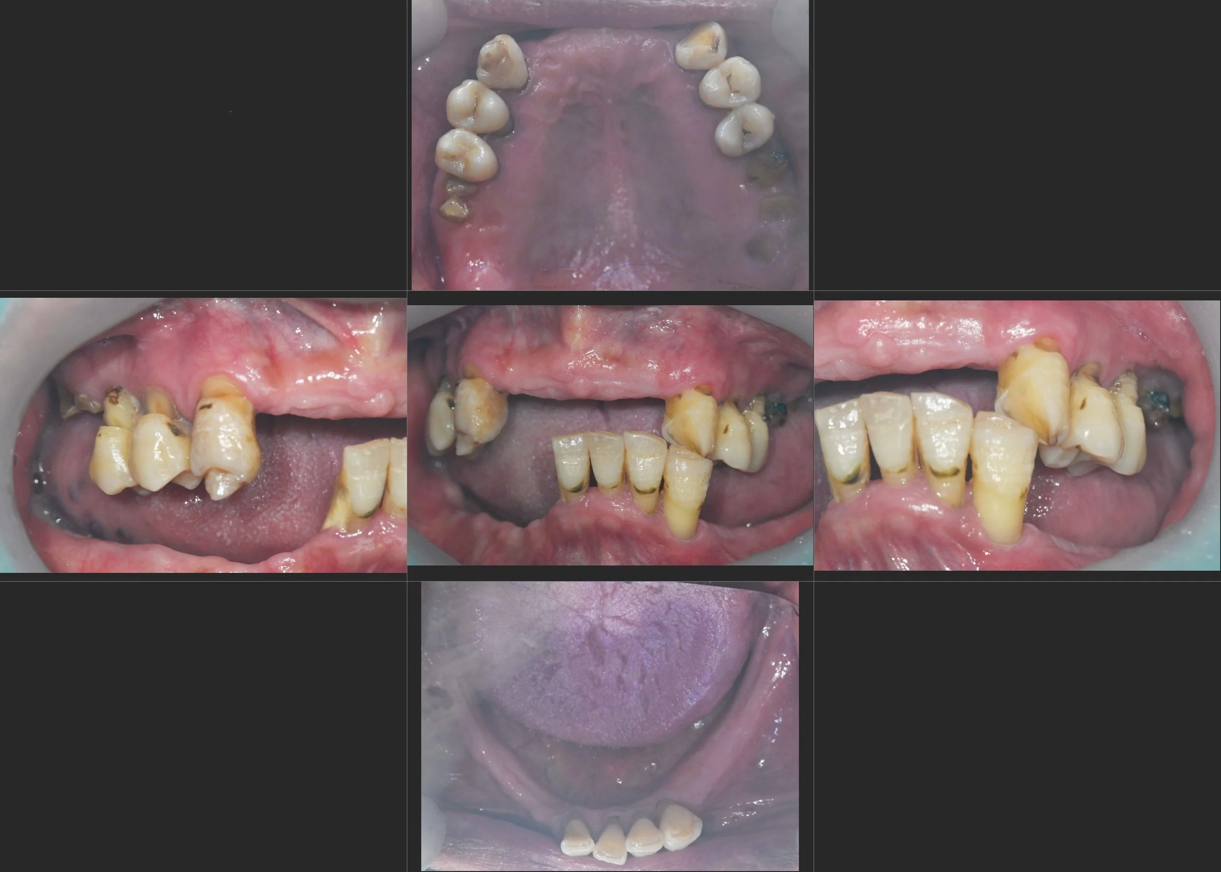
A male patient in his 50s presented with extensive posterior tooth loss and a compromised occlusal plane. While the posterior segments required comprehensive reconstruction, the patient’s anterior teeth remained salvageable.

The clinical challenge in this "simple" full-arch case was not the surgery itself, but the re-establishment of a predictable and stable Centric Relation (CR). In cases involving extensive implant rehabilitation, the procedure can often be simplified by a "blank slate" approach; however, preserving the natural anterior dentition was prioritized here to maintain the patient's tactile feedback and natural aesthetics.

OPG - BEFORE

INTRA ORAL - BEFORE

Treatment Objectives

  • Strategic Implant Placement: To provide a robust foundation for posterior support where natural teeth were missing.

  • Anterior Preservation: To retain and restore the natural anterior teeth, maintaining the patient's biological proprioception.

  • Vertical Dimension Recovery: To re-establish the lost vertical dimension of occlusion (VDO).

  • Stable CR Induction: To guide the mandible into a stable Centric Relation through a controlled adaptation phase.

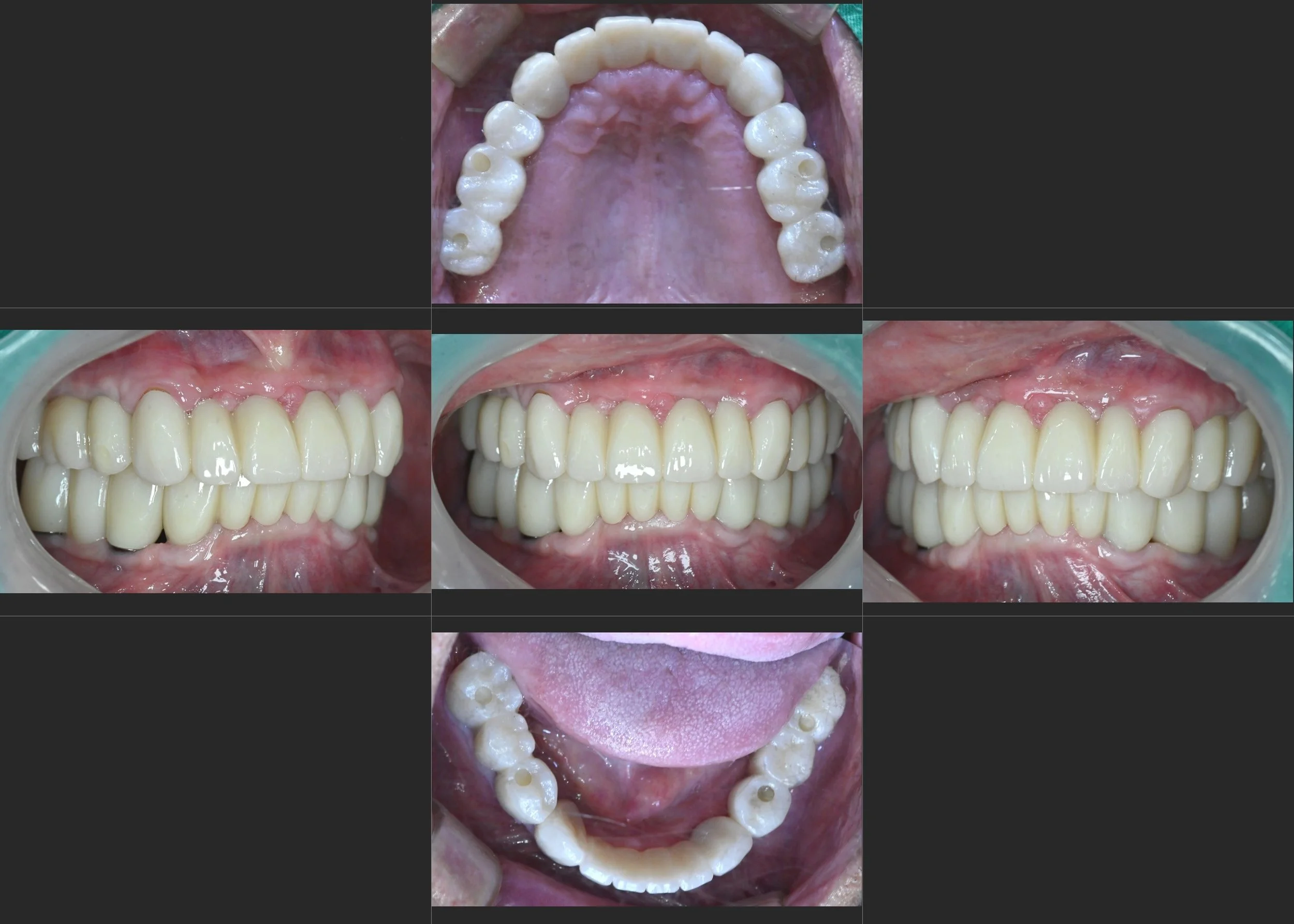
INTRA ORAL - AFTER

Treatment Approach

The treatment was executed with a focus on prosthetic predictability:

  1. Foundation Phase: Dental implants were placed in the edentulous posterior regions. The goal was to create a "posterior stop" that would allow for a stable and repeatable bite.

  2. CR Induction & Adaptation: This is the most critical phase of the rehabilitation. Rather than moving immediately to final delivery, the patient was fitted with long-term provisional restorations. This allowed for an essential period of neuromuscular adaptation, ensuring the patient could function comfortably in the newly established CR.

  3. Prosthetic Integration: The natural anterior teeth were restored and harmonized with the posterior implant-supported bridges. By integrating natural teeth with implants, we achieved a balance between surgical simplicity and biological preservation.

  4. Final Delivery: Once the bite was verified as stable and the patient was fully adapted to the new occlusal scheme, the final high-strength zirconia restorations were delivered.

The result is a functional, sustainable, and simplified reconstruction that respects both the precision of modern implantology and the value of natural tooth structure.

Previous
Previous

20. Definitive Full-Arch Rehabilitation: Transitioning from Removable Atrophy to Fixed Stability

Next
Next

18. Comprehensive Geriatric Rehabilitation: Restoring Bilateral Function and Facial Symmetry