27. Non-Surgical Correction of Severe Malocclusion and Facial Asymmetry

Case Summary

A male patient in his 50s presented with a severely compromised dentition characterized by a complex skeletal Class III tendency and pronounced facial asymmetry. The clinical situation was significantly complicated by a previous implant intervention where implants were placed without addressing the underlying occlusal disharmony. These poorly positioned, "useless" implants had not only failed to function but had actively exacerbated the patient's severe malocclusion.

The primary clinical findings included:

  • Severe Skeletal Malocclusion: Pronounced prognathic tendency with unstable occlusal stops.

  • Functional & Skeletal Asymmetry: Significant mandibular deviation, visibly affecting facial symmetry.

  • Iatrogenic Implant Failure: Existing implants located in positions that made functional restoration impossible, acting as destructive occlusal interferences.

OPG - BEFORE

INTRA ORAL - BEFORE

Treatment Objectives

  • Iatrogenic Failure Management: To remove or bypass useless/misaligned existing implants and stabilize the periodontal foundation.

  • VDO Elevation: To strategically elevate the Vertical Dimension of Occlusion (VDO) to unlock the mandible and create restorative space.

  • Mandibular "Center of Gravity" Guidance: To re-establish a stable Centric Relation (CR) and find the mandibular "center of gravity," thereby non-surgically improving the appearance of facial symmetry.

  • Implant Re-treatment: To place new implants in the posterior segments at the optimized VDO to ensure robust and predictable posterior support.

  • Anterior Aesthetic Restoration: To finalize the anterior segment with ceramic restorations to achieve aesthetic rejuvenation and clear anterior guidance.

  • Sustainable Occlusal Stability: To convert a high-risk, failing occlusal state into a stable, fixed rehabilitation.

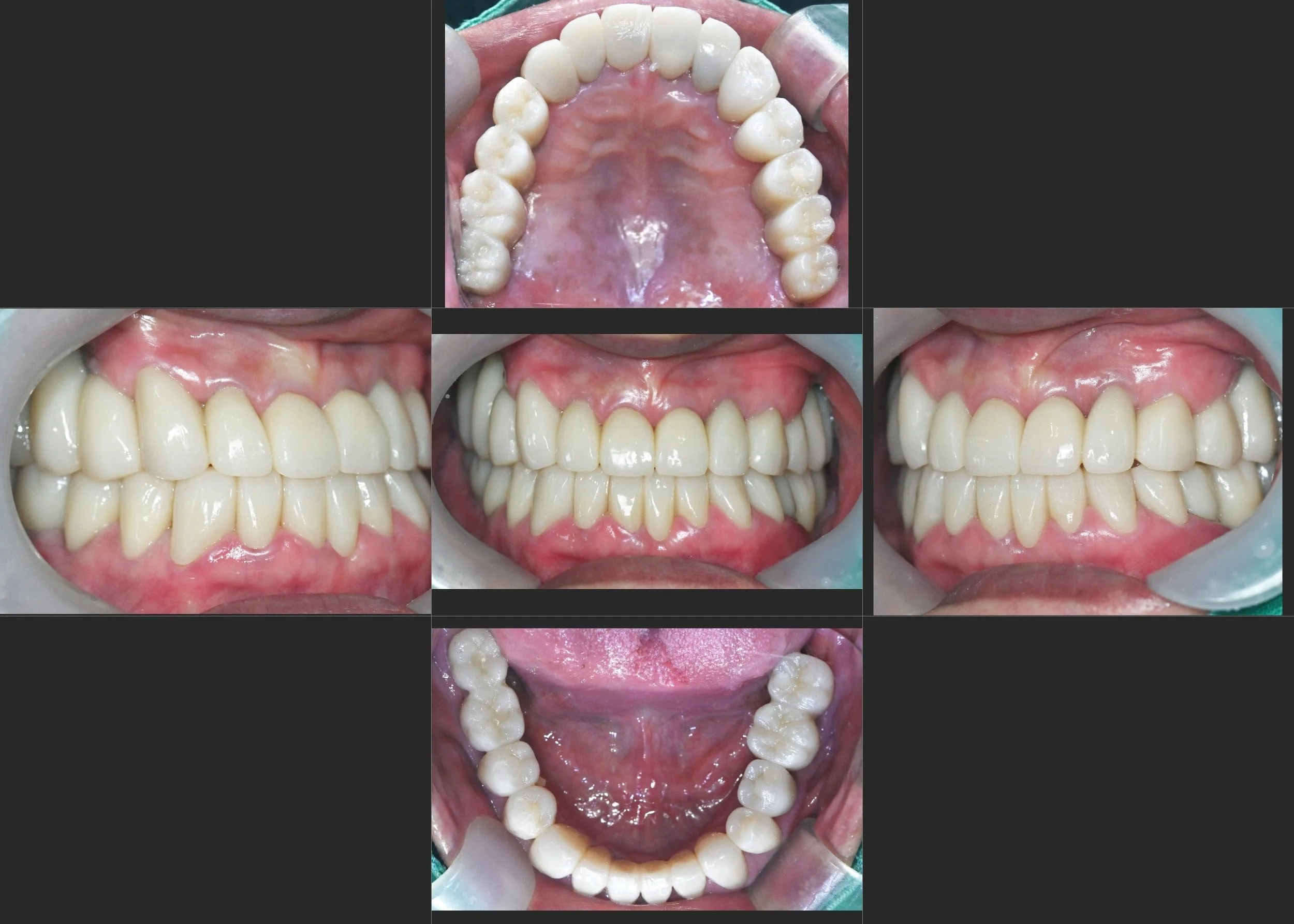
INTRA ORAL - AFTER

Treatment Approach

The rehabilitation was handled through a structured, multi-disciplinary approach to manage the severe functional and skeletal challenges without resorting to complex orthognathic surgery:

  1. Initial Preparation & Stabilization: failing or poorly aligned existing implants and hopeless teeth were removed. This phase was crucial for eradicating infection and creating a predictable foundation for the subsequent steps.

  2. VDO Elevation & Temporary Stabilization: The most critical step was the re-establishment of a new, functional vertical dimension of occlusion (VDO). Long-term provisional restorations were utilized to stabilize the bite and guide the mandible. This process was key to non-surgically improving the functional balance and the appearance of facial asymmetry.

  3. Implant Re-treatment & Functional Integration: Dental implants were strategically re-placed in the posterior segments at the intended new VDO. This phase was meticulously planned to prevent future overloading and to harmonize with the new mandibular position.

  4. Final Prosthetic Phasing: definitivo definitive anterior porcelain bridges and crowns were delivered for aesthetic rejuvenation. Simultaneously, the final posterior implant-supported bridges were finalized at the stable VDO, ensuring a sustainable and functional result.

The final result is a transformative improvement, moving from the discomfort of iatrogenic failure and skeletal collapse to a stable, functional, and symmetrical Fixed Rehabilitation.

Previous
Previous

28. Posterior Occlusal Rehabilitation with Natural Anterior Preservation

Next
Next

26. Strategic Tooth Preservation in Full-Arch Rehabilitation