26. Strategic Tooth Preservation in Full-Arch Rehabilitation

Case Summary

A male patient in his 50s presented with a severely compromised dentition. Years of progressive periodontal disease had led to:

  • Generalized Tooth Loss: Multiple missing units in both the maxillary and mandibular arches.

  • Loss of Occlusal Relationship: The lack of posterior support had caused a total breakdown of the bite, making mastication nearly impossible.

  • Periodontal Instability: Severe horizontal bone loss and increased tooth mobility were evident across the remaining dentition.

While a full-arch implant-supported solution (such as All-on-6) was a viable surgical alternative, the patient expressed a strong desire to preserve his remaining natural teeth wherever clinically possible.

OPG - BEFORE

INTRA ORAL - BEFORE

Treatment Objectives

  • Periodontal Stabilization: To control the active infection and stabilize the remaining natural tooth foundations.

  • Strategic Implant Integration: To place implants in key edentulous areas to provide the necessary posterior support that natural teeth alone could no longer provide.

  • Occlusal Balance Recovery: To re-establish a harmonious occlusal plane and a stable vertical dimension.

  • Aesthetic Rejuvenation: To restore a natural smile line and facial support, enhancing the patient's quality of life.

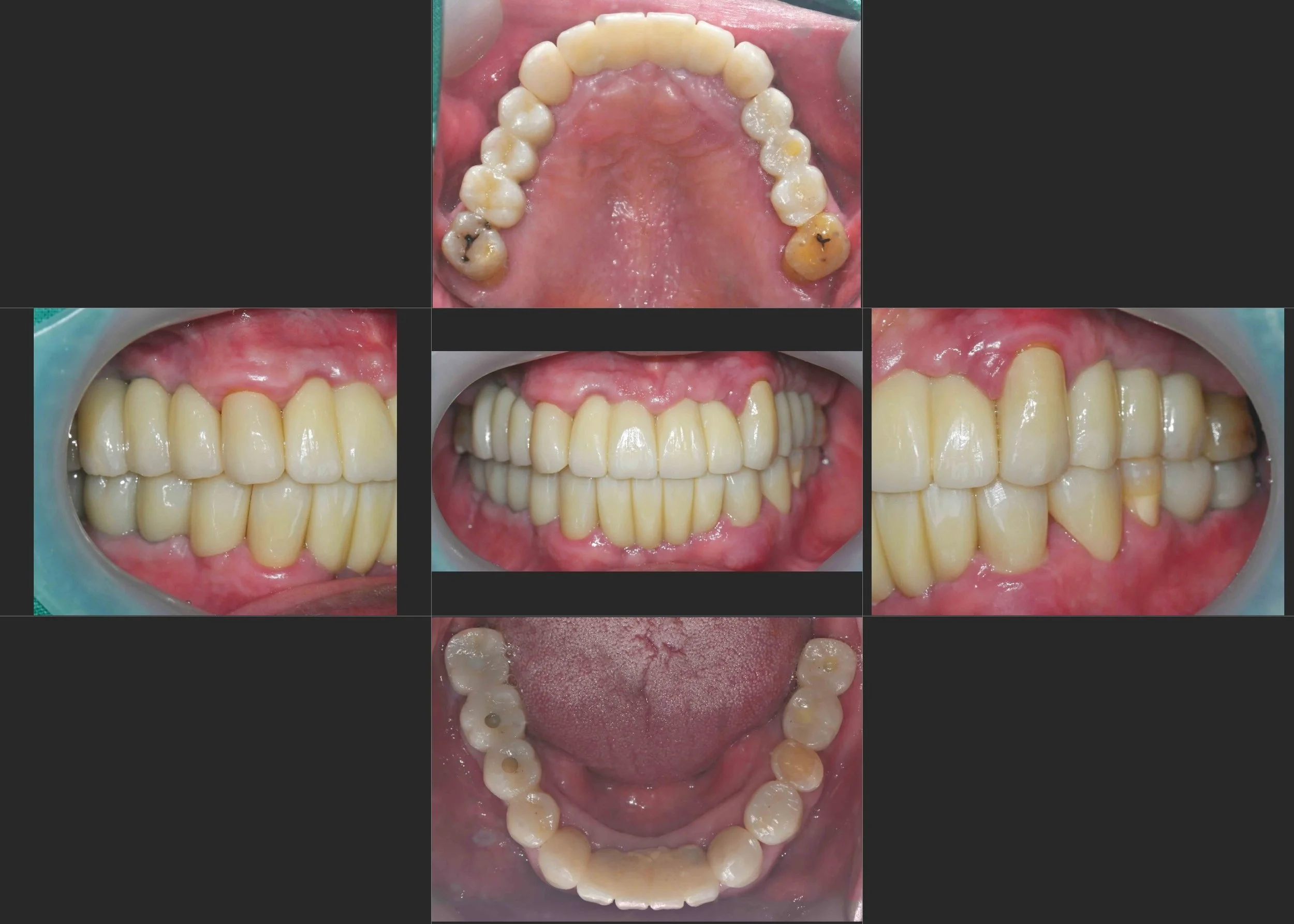
INTRA ORAL - AFTER

Treatment Approach

The rehabilitation was carefully planned to balance surgical predictability with the patient's preference for tooth preservation:

  1. Initial Phase: Extensive periodontal therapy was conducted to create a healthy environment. Non-restorable units were removed, and salvageable teeth were stabilized with temporary restorations.

  2. Implant Phase: Dental implants were strategically placed in the posterior segments. This provided the "occlusal stops" required to prevent overloading the remaining natural teeth.

  3. Prosthetic Reconstruction: Rather than a unified full-arch prosthesis, a combination of implant-supported bridges and tooth-supported crowns was utilized. This hybrid approach allowed for the preservation of the patient's biological proprioception (natural tooth feel).

  4. Functional Calibration: The final occlusal relationship was meticulously calibrated to ensure even force distribution, protecting both the implants and the preserved natural teeth from excessive occlusal trauma.

The final result is a stable, functional, and aesthetic reconstruction that honors the patient's biological integrity while providing the structural support of modern implantology.

Previous
Previous

27. Non-Surgical Correction of Severe Malocclusion and Facial Asymmetry

Next
Next

25. Comprehensive Full-Arch Rehabilitation: Re-establishing Occlusal Harmony in Advanced Periodontitis