32. Strategic Phased Rehabilitation: Managing Severe Alveolar Atrophy

Case Summary

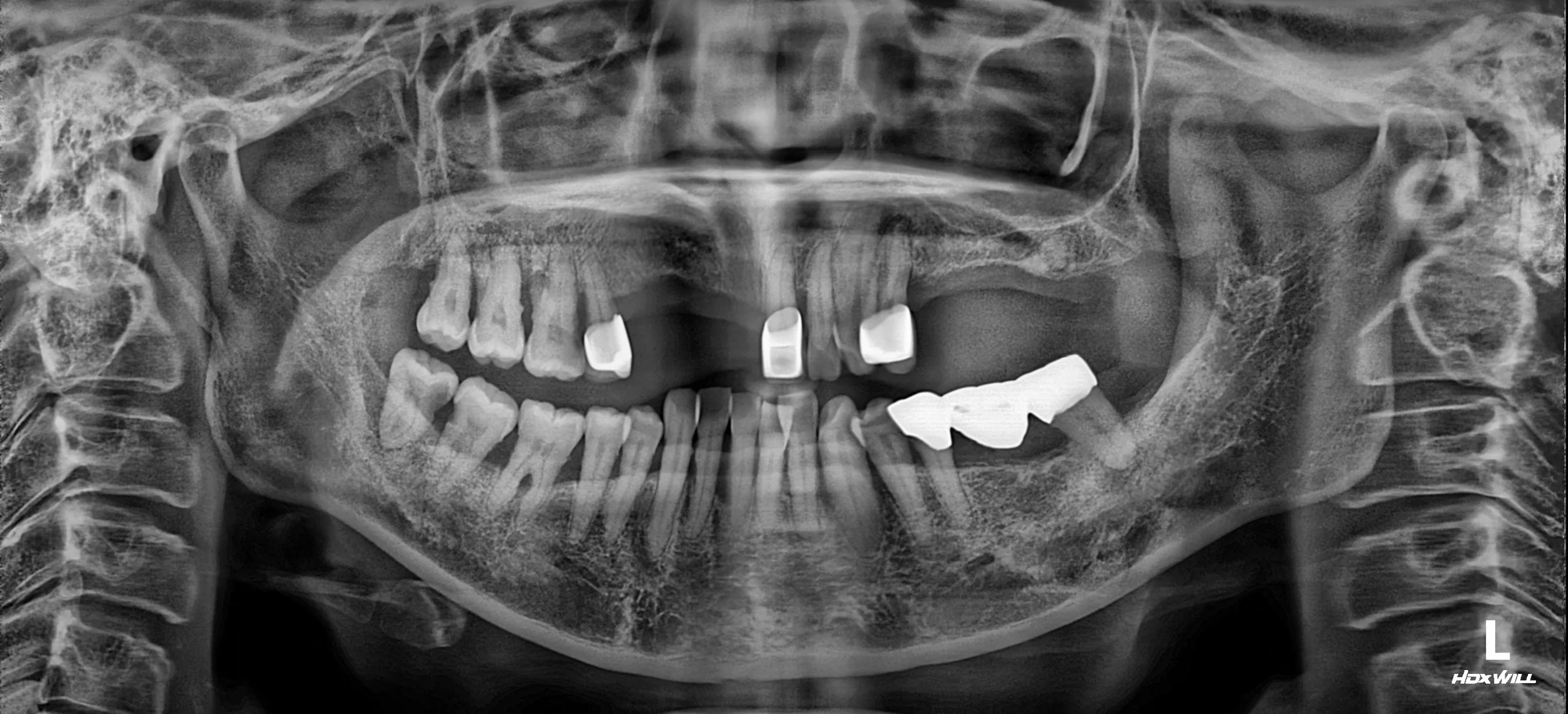
A female patient in her 50s presented with significant functional impairment resulting from long-term reliance on ill-fitting removable dentures. The clinical situation was characterized by:

  • Severe Alveolar Resorption: Chronic pressure from the dentures had led to extreme horizontal and vertical bone loss, particularly in the edentulous spans.

  • Total Occlusal Collapse: The lack of stable posterior stops had compromised the patient's vertical dimension and chewing capacity.

  • Patient Preference for Phased Care: The patient requested a sequential approach to treatment, prioritizing the most urgent edentulous areas while deferring treatment for quadrants 10 and 40.

OPG - BEFORE

INTRA ORAL - BEFORE

Treatment Objectives

  • Foundation Reconstruction: To perform Guided Bone Regeneration (GBR) to recover the necessary bone volume for stable implant placement.

  • Priority Edentulous Recovery: To restore the primary missing segments with dental implants to regain immediate masticatory function.

  • Forward-Looking Occlusal Design: To establish a new vertical dimension and occlusal curve that functions optimally now, while being specifically engineered to accommodate the future restoration of quadrants 10 and 40.

  • Aesthetic and Structural Stabilization: To replace failing units with high-strength restorations that provide facial support and long-term durability.

INTRA ORAL - AFTER

Treatment Approach

The rehabilitation was approached with meticulous planning to ensure the current work serves as a reliable foundation for the next phase:

  1. Surgical Phase (Foundation Building): Extensive bone grafting was performed in the prioritized edentulous areas. Following a suitable healing period, dental implants were strategically placed to provide robust support.

  2. Sequential Strategy: In accordance with the patient's request, quadrants 10 (upper right) and 40 (lower right) were maintained in their current state. This required a sophisticated prosthetic design that balances the bite using the newly restored segments while anticipating the eventual integration of the deferred quadrants.

  3. VDO Management & Adaptation: The Vertical Dimension of Occlusion (VDO) was reset to a more physiologically neutral height. Temporary restorations were utilized to ensure the patient adapted comfortably to the new mandibular position.

  4. Definitive Delivery: Final zirconia bridges and crowns were delivered. The occlusal scheme was meticulously calibrated to provide stable stops and interference-free guidance, ensuring a seamless transition when the patient is ready for the final phase of her full-mouth journey.

The result is a functional and aesthetic transformation that respects the patient's pacing while providing the clinical stability required for long-term success.

Previous
Previous

33. Comprehensive Revision Therapy: Reclaiming Function from Multiple Implant Failures

Next
Next

31. Full-Arch All-on-6 Rehabilitation: Overcoming Severe Bone Atrophy and Flabby Tissue