BRIDGE Oral Spa

A personalised oral health session designed to reset, refresh, and maintain your long-term oral wellness.

Data-driven diagnostics, gentle care, and prevention-focused strategies for a healthier future.

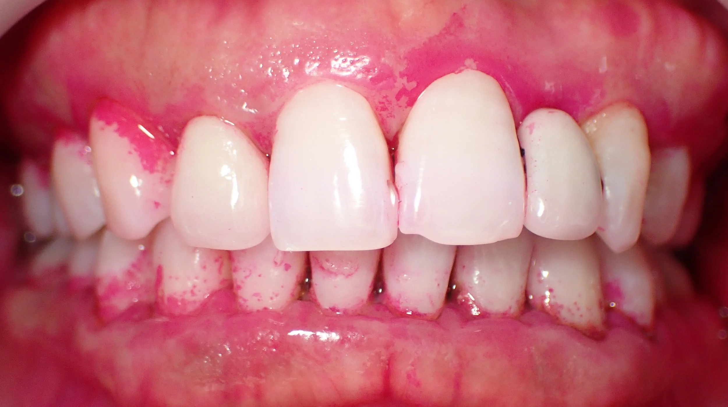
1 Comprehensive Oral Examination & Data Recording

Baseline Oral Health Mapping

A full-mouth examination with photographs, digital scans, and diagnostic indices to create your personalised oral health record. This serves as the foundation for monitoring changes and tailoring your care plan.

2 Oral Microbiome, Breath, and Caries Risk Testing

Data-Driven Preventive Diagnostics

Saliva analysis, bacterial profiling, pH measurements, and breath assessments help identify underlying risks. These objective values allow us to design preventive strategies aligned with your oral environment.

3 Professional Oral Spa Care Session

Scaling, Polishing & Advanced Cleaning Tools

Gentle plaque and biofilm removal using ultrasonic scalers, polishing systems, and AIRFLOW technology. Depending on your gum condition, sessions may transition into structured periodontal therapy.

4 Preventive Care Program & Personalised Home Care Kit

Fluoride, Probiotics, and Behaviour-Based Guidance

Each session concludes with professional brushing guidance, high-concentration fluoride application, probiotic recommendations, and a tailored home-care kit. A personalised progress report helps you track improvements over time.

5 Personalised Report & Score-based Tracking

Progress Visualisation & Home-Care Guidance

At each visit, your oral condition is summarised using scores and visual graphs. This allows us to monitor changes over time and adjust the next visit interval and home-care plan together.

Previous
Previous

Digital Aesthetic (Learn More)

Next
Next

Comprehensive General Treatment (Learn More)