4. Occlusal Repositioning Following Failed Prosthetic Rehabilitation

Case Summary

Female · 80s

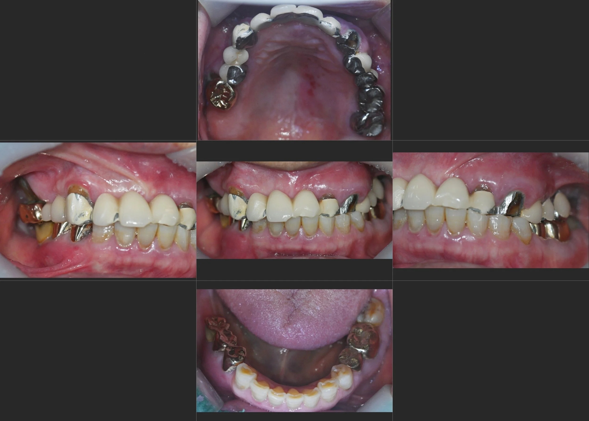
The patient presented with repeated prosthetic fractures and progressive abutment tooth damage,
resulting from long-standing improperly designed restorations.

She had a strong aversion to removable dentures due to previous negative experiences.

Incorrect bilateral occlusal height had caused mandibular deviation and a significant midline shift,
leading to functional instability and discomfort.

OPG - BEFORE

INTRA ORAL - BEFORE

Treatment Objectives

• Removal of failed and improperly designed prostheses

• Extraction of non-restorable teeth

• Restoration of occlusal vertical dimension and bilateral balance

• Correction of mandibular position and midline deviation

• Establishment of a stable, denture-free prosthetic solution

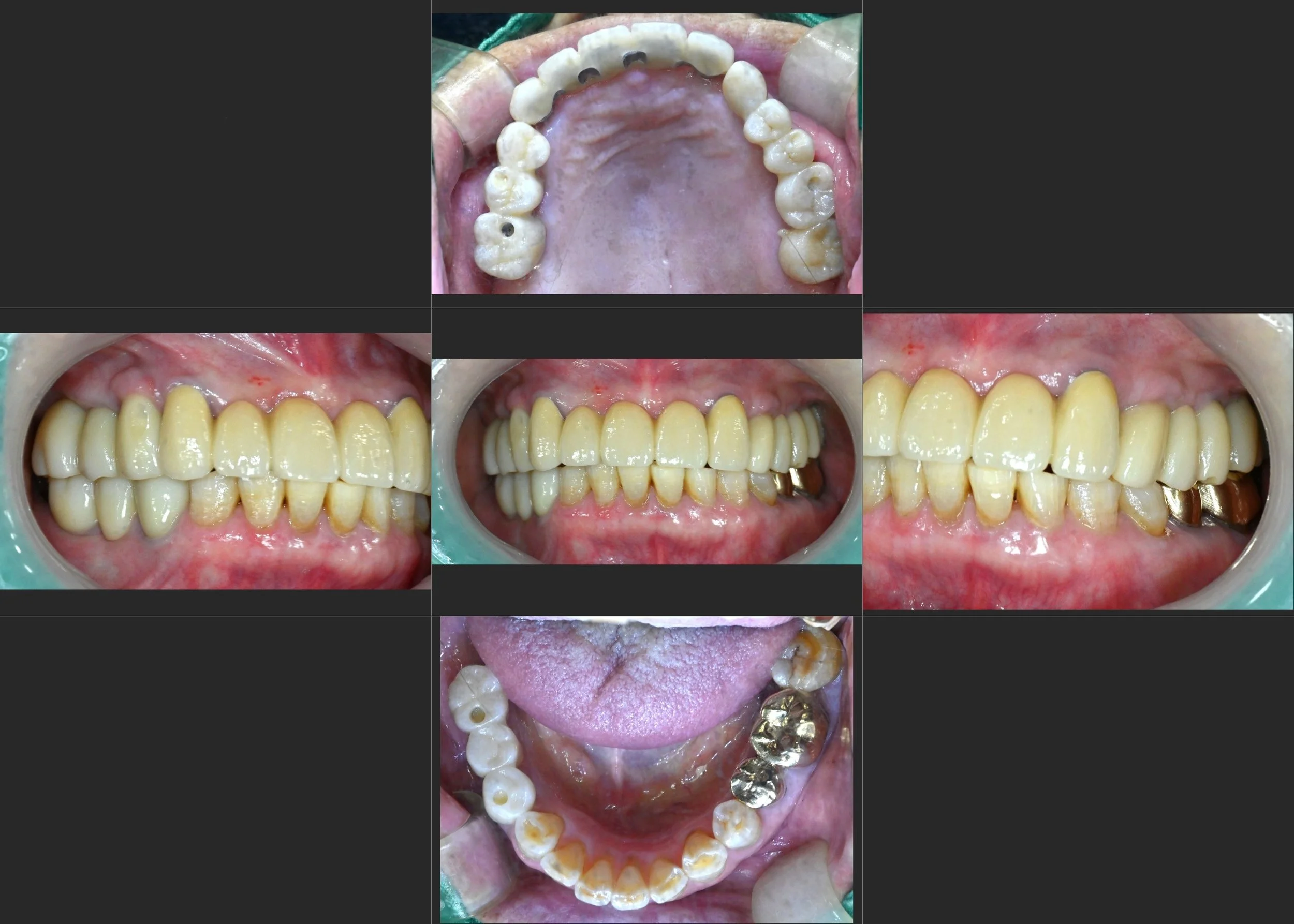
OPG - AFTER

INTRA ORAL - AFTER

Treatment Approach

All failing prosthetic restorations were carefully removed.

Hopeless teeth were extracted, and implant-supported restorations were planned to re-establish occlusal stability.

Through controlled occlusal reconstruction, mandibular position was corrected and the dental midline repositioned.

The final prosthetic design focused on balanced occlusion, functional longevity,
and patient comfort without reliance on removable appliances.

Previous
Previous

5. Occlusal Vertical Augmentation and Anterior Guidance Re-establishment

Next
Next

3. Occlusal Rehabilitation of a Pseudo Class III Malocclusion