5. Occlusal Vertical Augmentation and Anterior Guidance Re-establishment

Case Summary

Male · 60s

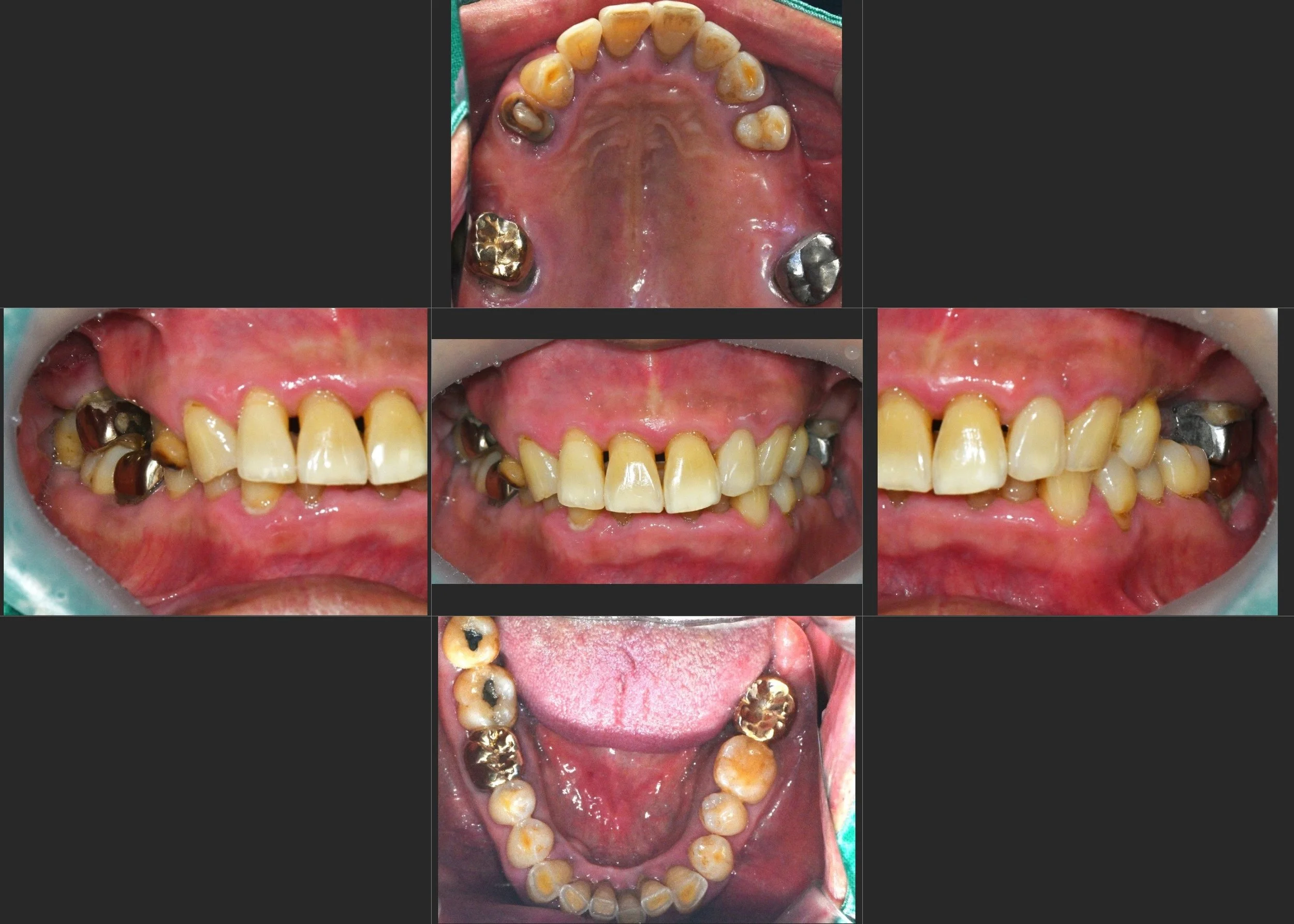
The patient presented with a severely collapsed occlusion, resulting in marked mandibular retrusion
and an excessive overjet.

Advanced anterior tooth wear and fractures were evident, caused by prolonged overload and unstable occlusal contacts.

OPG - BEFORE

INTRA ORAL - BEFORE

Treatment Objectives

• Occlusal vertical dimension increase to improve facial profile

• Enhancement of masticatory efficiency and functional stability

• Redistribution of excessive anterior loading forces

• Improvement of temporomandibular joint–related symptoms

• Correction of excessive overjet and overbite with balanced bilateral occlusion

OPG - AFTER

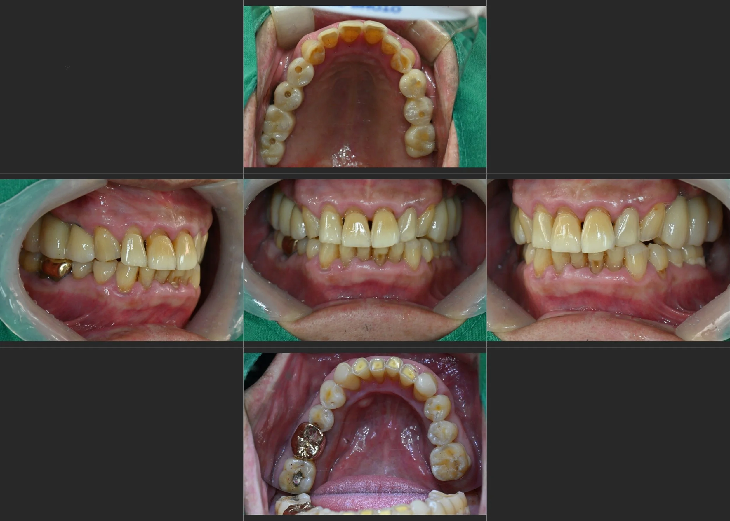
INTRA ORAL - AFTER

Treatment Approach

Previously damaged teeth were restored where feasible,
while severely worn anterior teeth were preserved with a maintenance-oriented approach.

Through controlled occlusal vertical augmentation and mandibular anterior repositioning,
excessive overjet and overbite were reduced,
anterior guidance was re-established,
and left–right occlusal balance was improved to support long-term functional stability.

Previous
Previous

6. Occlusal Rehabilitation with Anterior Space Reconstruction

Next
Next

4. Occlusal Repositioning Following Failed Prosthetic Rehabilitation