6. Occlusal Rehabilitation with Anterior Space Reconstruction

Case Summary

Female · 50s

The patient had discontinued use of an ill-fitting removable denture and relied on unilateral mastication over an extended period.
As a result, the contralateral dentition deteriorated, leading to progressive occlusal collapse and aesthetic concerns.

Despite the compromised occlusion, the patient wished to preserve an existing fixed bridge for financial reasons.

OPG - BEFORE

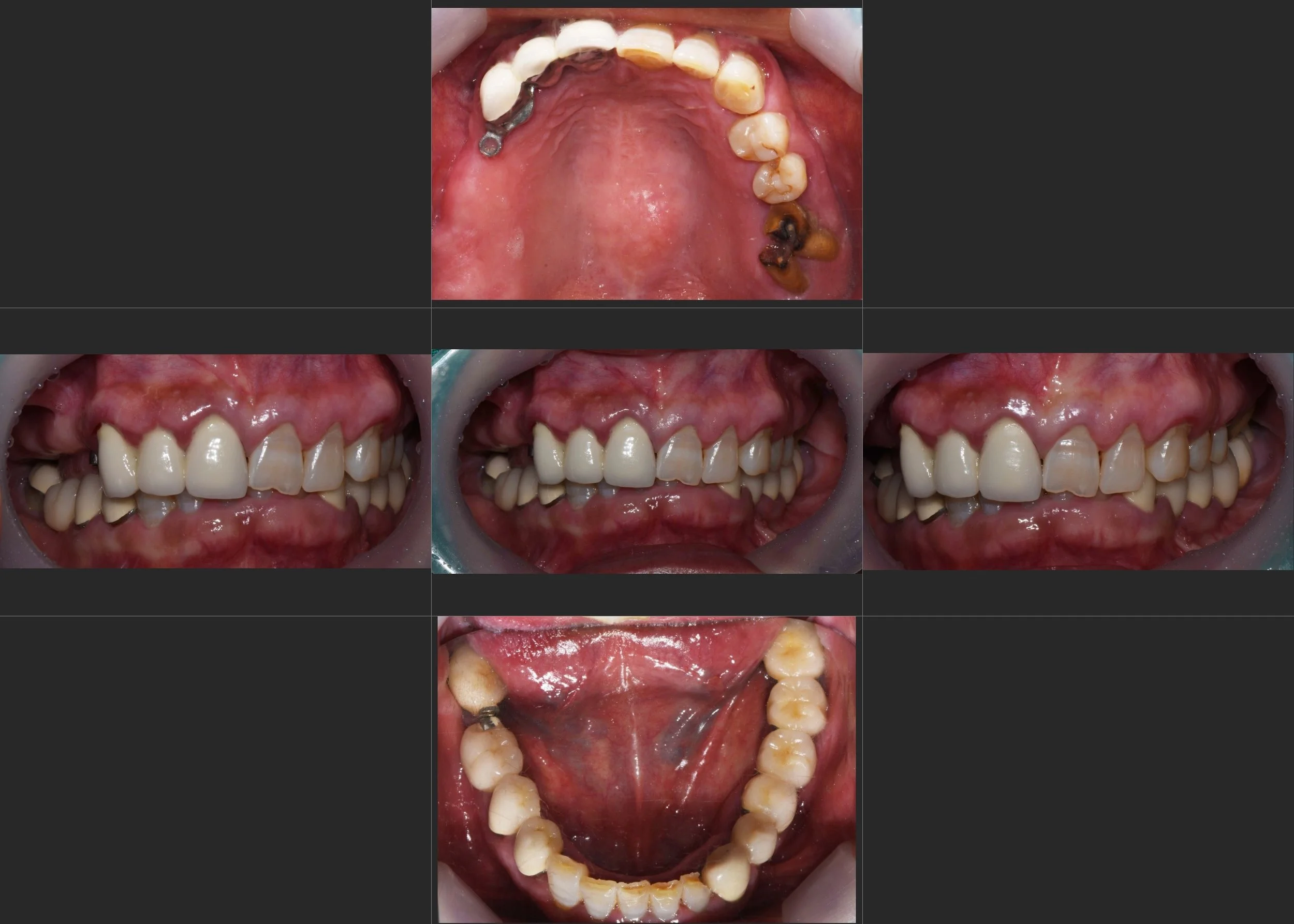
INTRA ORAL - BEFORE

Treatment Objectives

• Restoration of anterior restorative space through controlled occlusal vertical increase

• Improvement of dental aesthetics while maintaining existing restorations where possible

• Redistribution of occlusal forces to reduce overload on compromised teeth

• Establishment of a maintainable occlusal scheme for both existing and newly placed prostheses

OPG - AFTER

INTRA ORAL - AFTER

Treatment Approach

A prosthetic-driven occlusal rehabilitation was performed with careful vertical dimension adjustment.
Anterior restorative space was secured to address aesthetic concerns,
while the occlusal scheme was redesigned to allow force distribution across the arch.

By integrating the existing bridge into a balanced occlusal framework,
long-term maintenance of both old and new restorations was prioritised.

Previous
Previous

7. Occlusal Rehabilitation with Implant-Supported Posterior Reconstruction

Next
Next

5. Occlusal Vertical Augmentation and Anterior Guidance Re-establishment