7. Occlusal Rehabilitation with Implant-Supported Posterior Reconstruction

Case Summary

Female · 50s

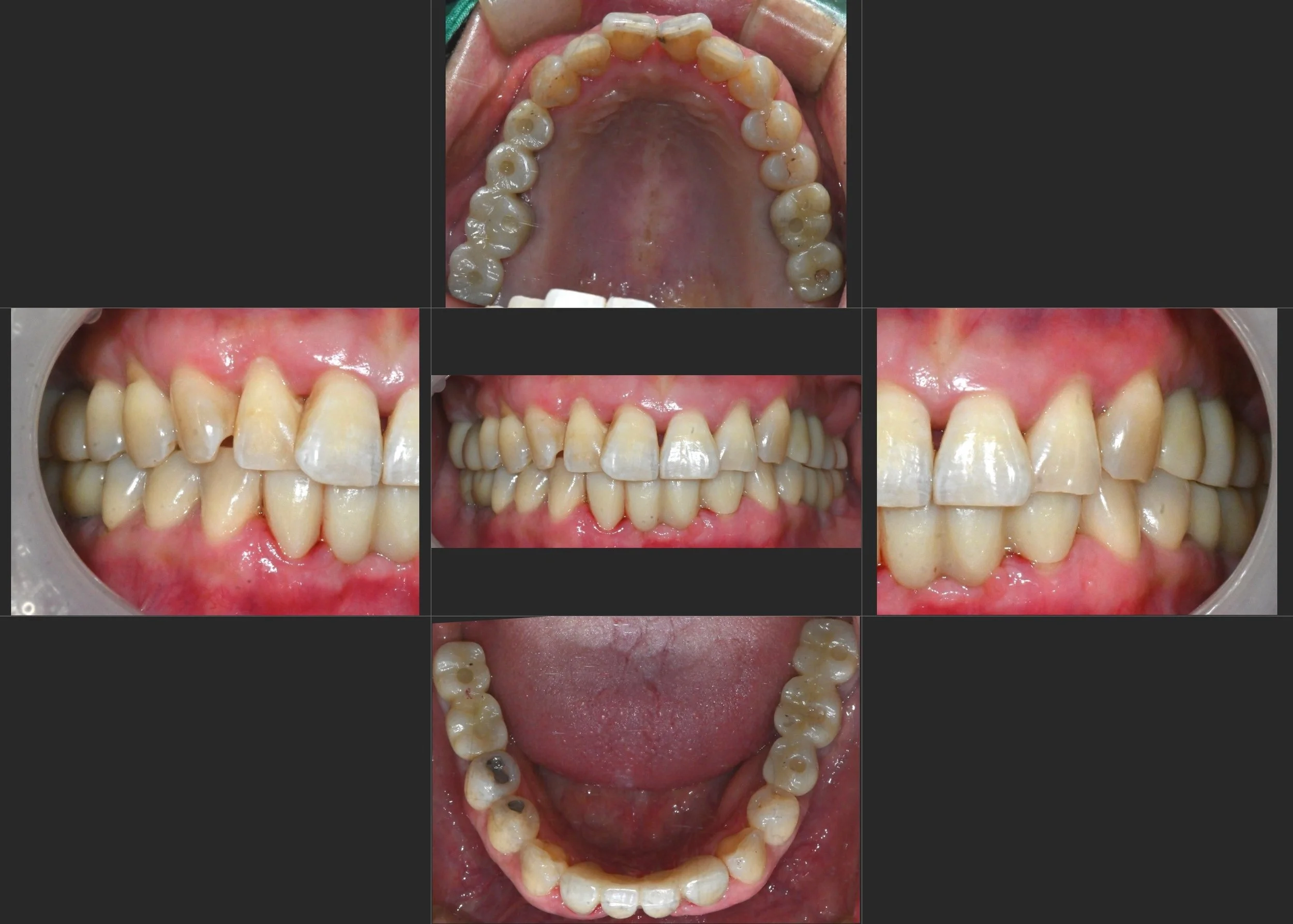
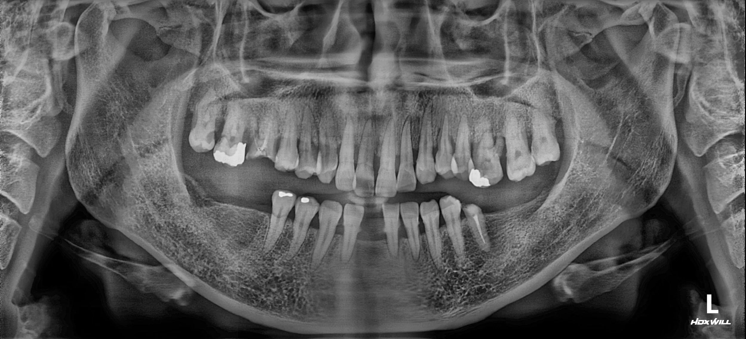
The patient presented with moderate to advanced periodontitis, posterior occlusal loss,
and partial anterior tooth loss accompanied by mobility of the remaining teeth.

Due to prolonged edentulism in the anterior region, the patient had largely abandoned
esthetic expectations and adapted to a compromised functional state.

OPG - BEFORE

INTRA ORAL - BEFORE

Treatment Objectives

• Restoration of posterior occlusion using implant-supported prostheses

• Establishment of a stable occlusal vertical dimension to protect anterior teeth

• Improvement of anterior esthetics following occlusal stabilisation

• Recovery of a maintainable and long-term functional oral condition

OPG - AFTER

INTRA ORAL - AFTER

Treatment Approach

A staged, prosthetic-driven treatment plan was implemented.
Implant-supported restorations were used to re-establish posterior support and occlusal stability.
Following determination of an appropriate vertical dimension,
anterior restorations were designed to enhance esthetics while minimising functional overload.
The final outcome focused on predictability, load distribution, and long-term maintenance.

Previous
Previous

8. Implant-Supported Removable Partial Denture (ISRPD)

Next
Next

6. Occlusal Rehabilitation with Anterior Space Reconstruction