8. Implant-Supported Removable Partial Denture (ISRPD)

Case Summary

Male · 70s

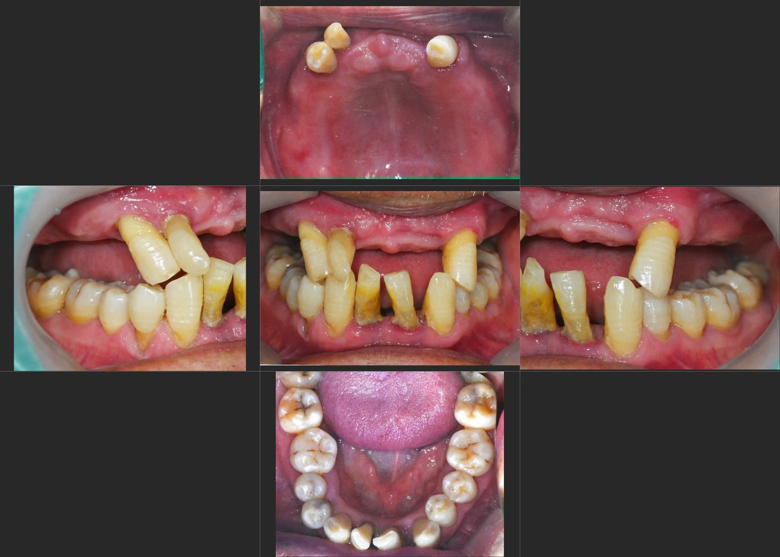
The patient presented with collapse of abutment teeth caused by long-standing use of an ill-fitting removable denture.
While the maxillary dentition showed significant deterioration, the mandibular posterior teeth remained relatively well preserved.

Due to financial considerations, full-arch rehabilitation was not a viable option, and a pragmatic treatment compromise was required.

OPG - BEFORE

INTRA ORAL - BEFORE

Treatment Objectives

• Minimise overall treatment cost while ensuring long-term sustainability

• Prevent biomechanical complications associated with complete denture therapy opposing natural dentition

• Improve anterior aesthetics without excessive intervention

• Preserve and utilise remaining mandibular natural teeth effectively

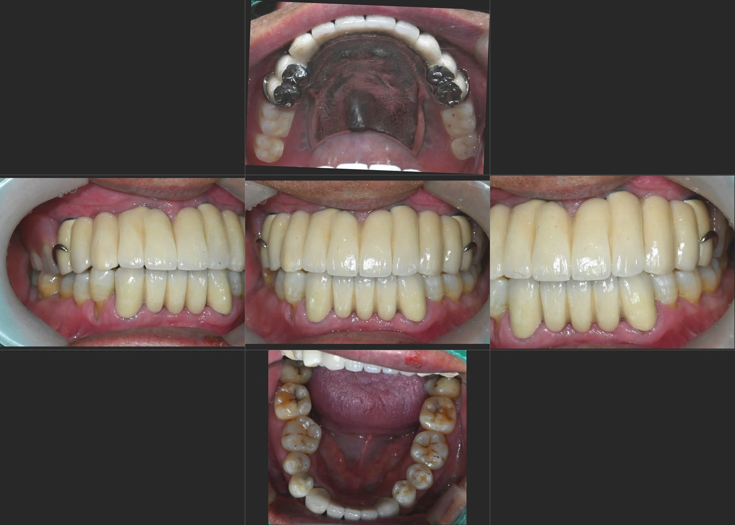
INTRA ORAL - AFTER

Treatment Approach

A hybrid treatment strategy was planned to balance function, aesthetics, and cost.

• Anterior implants were placed to support aesthetic and functional demands
• Posterior support was achieved using an implant-supported removable partial denture (ISRPD)
• A five-unit anterior bridge was designed using three pontics, taking into account the limited mandibular anterior space
• Occlusal design focused on distributing forces evenly and reducing overload on remaining abutment teeth

This approach allowed restoration of function and appearance while avoiding the biological and financial burden of full-arch rehabilitation.

Previous
Previous

9. Occlusal Rehabilitation without Anterior Re-prosthesis

Next
Next

7. Occlusal Rehabilitation with Implant-Supported Posterior Reconstruction