10. Anterior Crossbite with Functional Compromise in a Female Patient in Her 50s

Case Summary

Fmale · 50s

The patient presented with a long-standing anterior crossbite and disharmonious occlusal relationship,
resulting in reduced masticatory efficiency and progressive facial asymmetry.
She also reported a previous unsuccessful experience with removable prosthetic treatment.

OPG - BEFORE

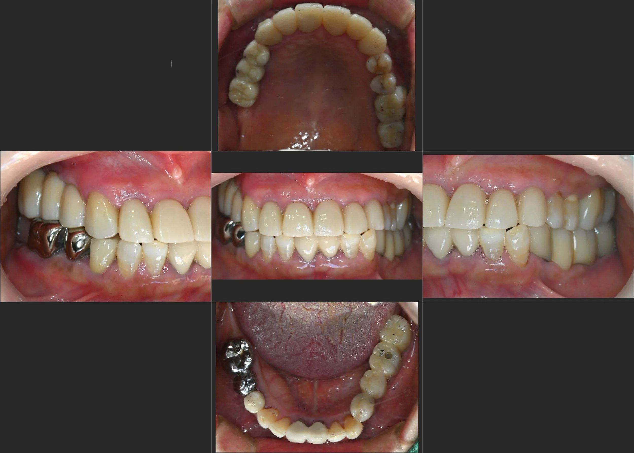
INTRA ORAL - BEFORE

Treatment Objectives

• Anterior crossbite contributing to functional impairment

• Reduced masticatory efficiency and unstable occlusal contacts

• Skeletal Class III tendency affecting anterior guidance design

• Risk of anterior prosthetic overload with excessive overbite correction

INTRA ORAL - AFTER

Treatment Approach

Posterior implant-supported restorations were placed to re-establish posterior support,
followed by anterior prosthetic rehabilitation to correct the crossbite relationship.

Due to the Class III skeletal tendency, excessive overbite correction was avoided.
Certain teeth (e.g. #33) were intentionally excluded from occlusal contact to reduce anterior overload.

A prolonged period of occlusal adjustment and mandibular adaptation exercises was undertaken
before finalising the definitive prostheses.

The case was completed with an edge-to-edge anterior relationship to minimise the risk of prosthetic fracture
while maintaining functional and aesthetic balance

Previous
Previous

11. Full Mouth Rehabilitation Integrating Natural Teeth and Implants

Next
Next

9. Occlusal Rehabilitation without Anterior Re-prosthesis