14. Comprehensive Aesthetic and Functional Realignment: Correcting Midline Discrepancy in a Young Adult

Case Summary

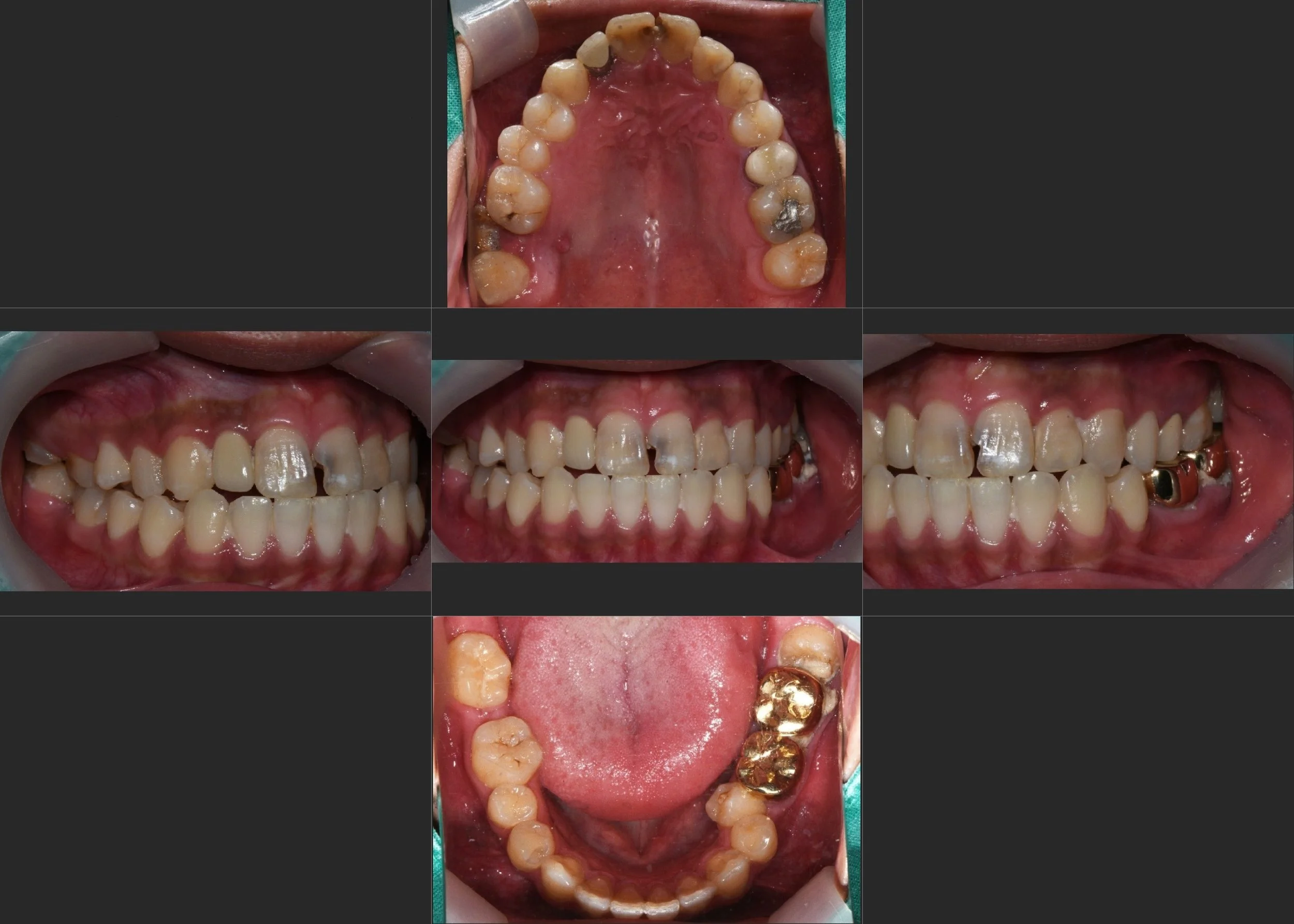
A male patient in his 20s presented with extensive dental caries across multiple teeth and a significantly compromised occlusal relationship. The primary clinical concerns were:

  • Generalized Rampant Caries: Multiple teeth required urgent restorative and endodontic intervention.

  • Mandibular Deviation & Midline Shift: The patient exhibited a noticeable shift in the dental midline and mandibular deviation, leading to both functional instability and aesthetic disharmony.

  • Young Adult Considerations: Given the patient's age, preserving as much tooth structure as possible while ensuring a long-term stable outcome was paramount.

OPG - BEFORE

INTRA ORAL - BEFORE

Treatment Objectives

  • Caries Eradication: To eliminate all active decay and restore structural integrity through comprehensive endodontic therapy and crown restorations.

  • Occlusal Plane Correction: To reset the occlusal relationship to a more physiologically neutral position.

  • Midline Realignment: To correct the midline shift and mandibular deviation through strategic prosthetic design.

  • Long-term Stability: To establish a balanced occlusion that prevents further deviation and ensures the longevity of the restorations.

INTRA ORAL - AFTER

Treatment Approach

The treatment plan was executed with a focus on both biological health and structural symmetry:

  1. Infection Control & Endodontics: Prioritizing the health of the pulp, multiple endodontic treatments were performed on teeth with deep caries. Hopeless decay was managed to create a clean foundation for the final prosthetics.

  2. Occlusal Reset: A thorough diagnostic wax-up was used to determine the ideal midline and occlusal plane. The goal was to compensate for the mandibular deviation by repositioning the dental midline during the prosthetic phase.

  3. Prosthetic Rehabilitation: All-ceramic crowns were utilized to restore the severely decayed teeth. By meticulously adjusting the morphology of the final crowns, we were able to successfully harmonize the upper and lower midlines and correct the perceived facial asymmetry.

  4. Functional Harmony: The final occlusion was calibrated to ensure even distribution of forces, providing the patient with a stable bite that resolved the functional discomfort associated with his previous deviation.

The result is a transformative improvement in both oral health and facial aesthetics, giving a young patient a confident and functional smile for the future.

Previous
Previous

15. Bilateral Full Mouth Rehabilitation: Transitioning from Failing Dentures to Stable Fixed Prosthetics

Next
Next

13. First VDO Elevation: Systematic Recovery of Occlusal Space and TMJ Function