16. Overcoming Dental Phobia: Comprehensive Smile Transformation for Rampant Caries

Case Summary

A female patient in her 20s presented with generalized rampant caries and multiple missing teeth. Due to a severe, long-standing dental phobia, she had avoided treatment for years, leading to a complete breakdown of her oral health.

The clinical findings included:

  • Extensive Decay: Almost all remaining teeth were affected by deep carious lesions.

  • Occlusal Disharmony: Missing posterior teeth had led to a collapsed bite and poor occlusal relationships.

  • Psychological Impact: The patient was unable to smile or speak comfortably in social settings due to the aesthetic state of her teeth.

  • Pre-operative Radiograph (OPG) OPG reveals generalized rampant caries, multiple non-restorable roots, and missing posterior units.

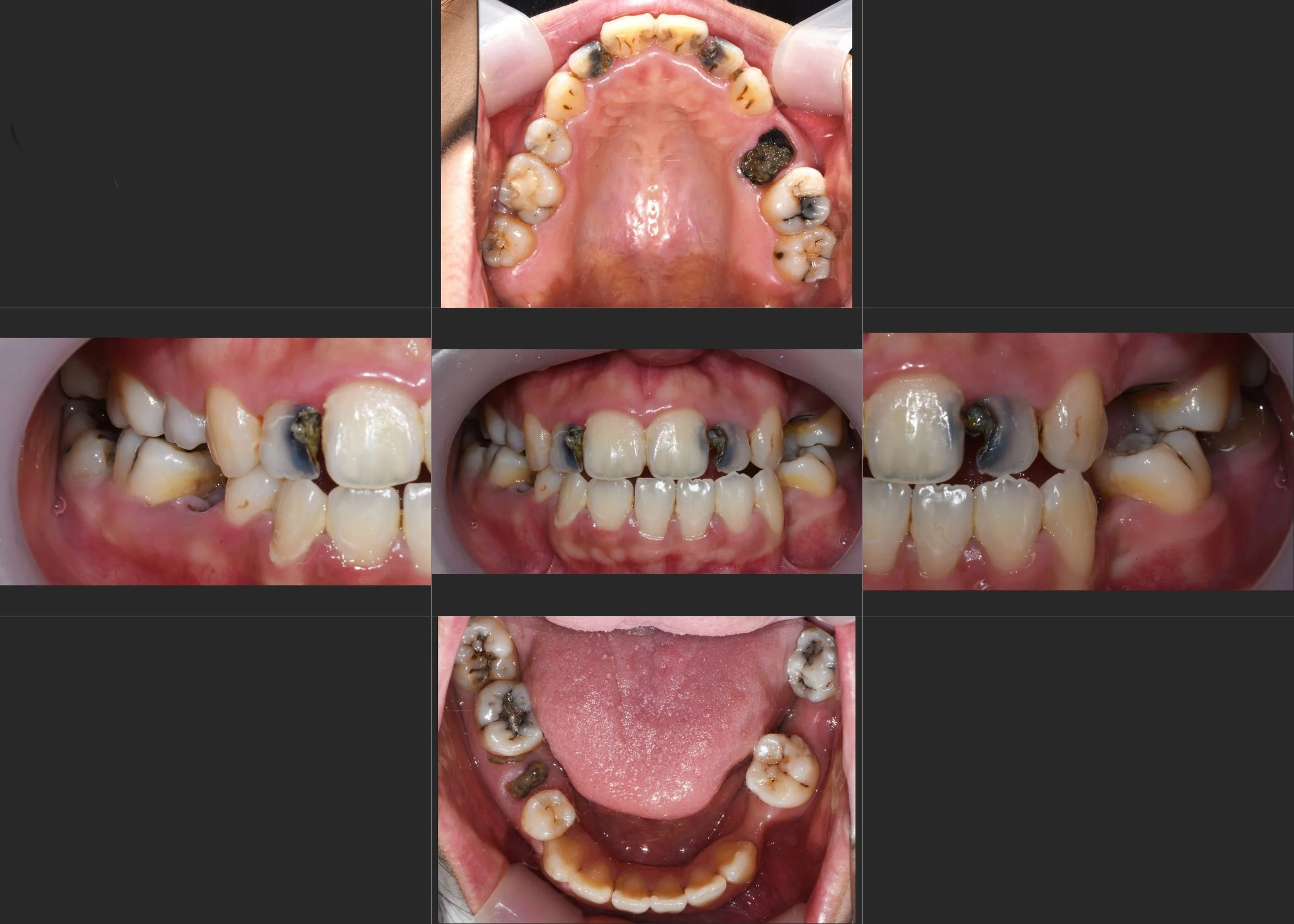
  • Pre-operative Intraoral Views Initial intraoral views showing the devastating effects of dental neglect and the urgent need for comprehensive rehabilitation.

OPG - BEFORE

INTRA ORAL - BEFORE

Treatment Objectives

  • Psychological Support: To provide a comfortable treatment environment to help the patient overcome her dental phobia.

  • Infection Control: To eradicate active caries and perform necessary endodontic therapy on salvageable teeth.

  • Functional Reconstruction: To restore missing segments using dental implants and establish a stable, balanced occlusion.

  • Aesthetic Rejuvenation: To design a natural-looking, harmonious smile using high-quality ceramic restorations, restoring the patient’s confidence.

INTRA ORAL - AFTER

Treatment Approach

The treatment was conducted in phases to accommodate the patient's anxiety and the complexity of the case:

  1. Stabilization Phase: Initial management of acute pain and infection. Non-restorable teeth were extracted, and caries control was performed on all remaining teeth.

  2. Surgical Phase: Dental implants were placed in the edentulous areas to provide a firm foundation for posterior support.

  3. Endodontic & Restorative Phase: Multiple root canal treatments and core build-ups were performed to save as much natural tooth structure as possible.

  4. Prosthetic Phase: A comprehensive occlusal reconstruction was executed. The final restorations—a combination of implant-supported crowns and tooth-supported aesthetic bridges—were designed to re-establish the correct vertical dimension and provide a harmonious smile line.

The final result was a complete transformation. Beyond the functional and biological success, the most rewarding outcome was seeing the patient regain her ability to smile without hesitation, marking the end of her fear of dental care.

Previous
Previous

17. Reconstructing Class III Malocclusion: A Strategic Approach to VDO Elevation

Next
Next

15. Bilateral Full Mouth Rehabilitation: Transitioning from Failing Dentures to Stable Fixed Prosthetics