17. Reconstructing Class III Malocclusion: A Strategic Approach to VDO Elevation

Case Summary

A male patient in his 50s presented with a severely compromised dentition and a history of failed dental rehabilitation. Having previously received partial dentures that were too uncomfortable to use, the patient had neglected further treatment, leading to:

  • Class III Malocclusion: A pronounced underbite exacerbated by posterior tooth loss.

  • Mandibular Deviation: Abnormal jaw shifting during closure due to lack of stable occlusal stops.

  • Insufficient Restorative Space: A collapsed Vertical Dimension of Occlusion (VDO) making fixed prosthetics challenging.

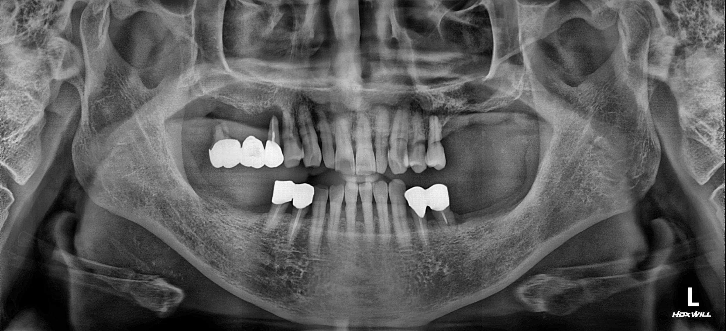
OPG - BEFORE

INTRA ORAL - BEFORE

Treatment Objectives

  • VDO Elevation: To create adequate vertical space for functional and aesthetic restorations.

  • Bite Realignment: To transition the patient from a Class III underbite to a more neutral edge-to-edge relationship.

  • Sinus Augmentation: To provide sufficient bone height for implant placement in the severely resorbed maxillary posterior regions.

  • Functional Stabilization: To establish a repeatable bite position that prevents further mandibular deviation.

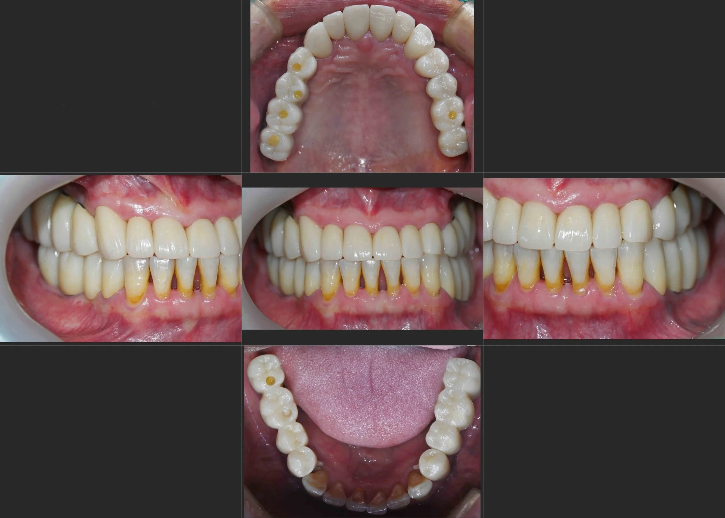
INTRA ORAL - AFTER

Treatment Approach

The rehabilitation required a careful balance between surgical foundation and prosthetic adaptation:

  1. Surgical Phase: Bilateral maxillary sinus lifts were performed to facilitate the placement of implants in the posterior segments. This established the necessary foundation for the new occlusal scheme.

  2. Occlusal Assessment: Following jaw relaxation (deprogramming) and clinical testing, it was determined that an edge-to-edge bite relationship was achievable. This position was selected to provide the most stable and reproducible centric relation.

  3. Adaptation Phase: The patient was transitioned into temporary restorations at the newly elevated VDO. Over several months, the patient's neuromuscular system was monitored for adaptation to the edge-to-edge position. This phase was critical for ensuring comfort and long-term stability.

  4. Final Delivery: Once stability was confirmed, the final implant-supported and tooth-supported prostheses were delivered. While not a "perfect" Class I occlusion, the height and positioning were meticulously set to prevent abnormal mandibular deviation, ensuring a sustainable and functional result.

The patient successfully transitioned from a state of total dental neglect and functional failure to a stable, fixed rehabilitation that has significantly improved his quality of life.

Previous
Previous

18. Comprehensive Geriatric Rehabilitation: Restoring Bilateral Function and Facial Symmetry

Next
Next

16. Overcoming Dental Phobia: Comprehensive Smile Transformation for Rampant Caries